Autor:
Berrocal, A.
Historia clínica:
El 11 de marzo, ingresa por una segunda opinión, con una historia clínica de haber sido operada (esterilización), 15 días antes en otra clínica. La paciente fue tratada con Amoxicilina/Acido Clavulónico y Meloxican® oral por 8 días.La paciente fue tratada con Amoxicilina/Acido Clavulónico y Meloxican® oral por 8 días.
Al finalizar el tratamiento la herida no había curado, por el contrario en la zona inguinal izquierda se formó una fístula por donde drenaba un material espeso y amarillento.
Al examen físico, las dos glándulas inguinales(izquierda y derecha) estaban calientes. Además, en la glándula derecha se palpaba la presencia de un líquido en el tejido subcutáneo, el cual se aspiro( cerca de 2.50 cc de color amarillo). Se mando con un antibiótico( Convenia®) por 15 días y Dexametasona de larga duración por 7 días.
El 23 de marzo, las dos glándulas se habían desinflamado bastante, y estaban a punto de cerrar (cicatrizar), tanto la herida de la cirugía, como el orificio fistular. Se repitió la dosis de Convenia® y una dosis de Fibro-Ress® ya que se palpaban un poco aumentadas de consistencia(duras).
El 01 de abril, regresa a revisión. Las dos glándulas estaban completamente cerradas, pero se palpaban muy calientes, con indicios de inflamación en el tejido subcutáneo y con dolor. Se decidió enviarla con Prednisolona oral por cuatro semanas con dosis descendentes.
El 11 de abril, regresa de nuevo. Las dos glándulas continúan dolorosas y calientes, con aumento de su consistencia. Además, se las lamia. Se toma la decisión de realizar un estudio citopatológico( al momento de aspirar salió menos cantidad líquido que cuando se hizo en la primera consulta. Ver Figs.1 y 2.
Figs. 1 y 2. La foto de la izquierda, la flecha negra indica salida de material sanguinolento( fístula). Las dos flechas rojas señalan necrosis con desprendimiento de la epidermis( erosión). La foto de la derecha, es para indicar el endurecimiento a la palpación. Ambas fotos son cortesía del Dr. Víctor Quesada.
Descripción de los hallazgos citopatológicos:
Se reciben cuatro citologías por aspiración con aguja delgada. Los hallazgos observados fueron: hay formación de muchas vacuolas vacías de diámetros variables. Además se encuentra la presencia de una gran cantidad de células inflamatorias, con predominio de polimorfos y macrófagos/histiocitos, a veces con dos núcleos. El citoplasma es abundante y espumoso. También, hay algunos linfocitos y fibrocitos. Ver Figs. 3 y 4.

Conclusión diagnóstica:
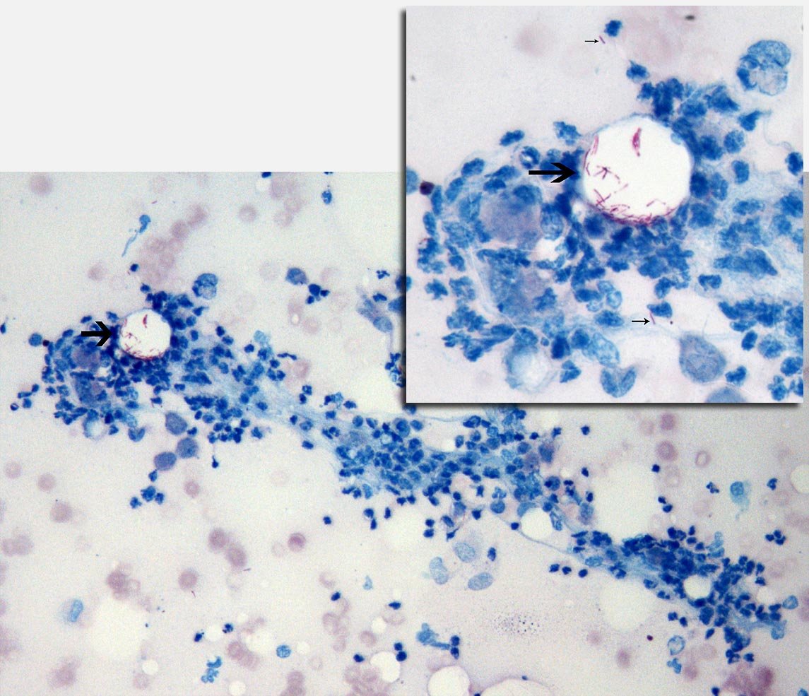
TINCIÓN DE GIEMSA
. Cuatro citoaspirados del subcutáneo de la glándula mamaria inguinal derecha e izquierda. Los hallazgos citopatológicos descritos son totalmente compatibles con la sospecha clínica y su historial clínico. Se trata de una PANICULITIS PIO-GRANULOMATOSA, la cual podría ser infecciosa o aséptica.
COMENTARIO: Es recomendable la realización de una tinción especial de Fite, para descartar algún MICOBACTERIUM SP NO TUBERCULAR.
NOTA: La tinción se realizó dando positiva, por ende el DIAGNOSTICO FINAL FUE DE UNA PANICULITIS PIO-GRANULOMATOSA CAUSADA POR UN MICOBACTERIUM SP DEL GRUPO DE LOS OPORTUNISTAS(CRECIMIENTO RÁPIDO). Ver Figs. 5 y 6.

Breve discusión del caso:
Nota:
No esta dentro del objetivo de la discusión de este caso, el revisar el amplio grupo de las infecciones causadas por el género de los MICOBACTERIUM SP. Solo a manera de orientación utilizaremos la clasificación de Greene( Infectious Diseases of the Dog and Cat, Fourth Edition, 2012). El cual los clasifica en tres grandes grupos, ellos son:
A. Los de crecimiento lento, ya sean productores o no productores del clásico tubérculo.
B. El grupo del Granuloma Leproide, el cual no es posible cultivar.
C. El grupo de crecimiento rápido, los cuales son fáciles de cultivar, y producen paniculitis, como el caso aquí presentado. Este grupo es muy heterogéneo, con cerca de siete diferentes especies, entre ellas el M. fortuitum, M. smegmatis, etc. las cuales están presentes en el medio ambiente (suelo, agua, etc.). Además, de paniculitis este grupo produce otras dos patologías, ellas son: Una neumonía lobar y una infección diseminada.
Comparada con caninos( perros), esta presentación clínica de PANICULITIS ha sido mayormente reportada en gatos, especialmente en Australia. En Costa Rica también la hemos reportado en gatos( ver bibliografía). En la mayoría de casos está asociada con una ruptura de la barrera cutánea( piel), ya sea por mordeduras, inyecciones o como sucedió con esta paciente cirugías, especialmente esterilizaciones. Hay un caso clínico reportado en la literatura de Cushing, en donde se teoriza que por haber una atrofia de la piel, probablemente facilitó la penetración de la bacteria.
Su presentación clínica es muy característica, son lesiones crónicas, que no cicatrizan y no responden a los drenajes y a los antibióticos. La lesión involucra al subcutáneo, con hinchazón(inflamación). Es fluctuante y puede haber aumento de su consistencia, debido a la presencia de tejido fibroso de reparación.
Las patologías dérmicas/subcutis( paniculitis) que provocan inflamaciones pio-granulomatosas (polimorfos y histiocitos), son muy diversas. Existen dos grandes grupos: Las estériles y las infecciosas. Dentro de las infecciosas, las mas reportadas son: Corynebacterium, Nocardia, Rhodococcus, cuerpos extraños y el grupo de las micosis profundas( Pythiosis, Langediosis, Micetomas, Cryptococosis, etc.). Como ejemplo, ver fig. 7.

NOTA: Desde el punto de vista de la citología diagnóstica, la celularidad tanto en las estériles como en las infecciosas, son muy semejantes. En el caso de las infecciosas, lo deseado es poder observar el microorganismo; de lo contrario es relevante el relacionar los hallazgos citopatológicos con un historial clínico detallado como el de esta paciente, para poder así hacer un diagnóstico diferencial, y si es del caso realizar algunas tinciones especiales, que permitan llegar a una buena conclusión diagnóstica. Lo ideal en estos casos, es realizar un cultivo, que nos permitan clasificar el género y la especie. Desafortunadamente, en Costa Rica no existen laboratorios especializados para muchos de estos microorganismos, como el aquí presentado.
Referencias Bibliográficas.
-Berrocal, A. Feline Mycobacterial Panniculitis. Presentation of seven cases from Costa Rica. Presented at: Biennial Symposium of the International Society for Companion Animal Infectious Diseases(ISCAID). NOV. 14-17,2012, San Francisco; California, USA.
-Berrocal, A. Canine Leproid Dermatitis: A retrospective study of 26 cases from Costa Rica. Presented at the Seventh World Congress of Veterinary Dermatology. Vancouver, Canada, July 24-28, 2012.
Nota: Estos dos trabajos los pueden encontrar en nuestra pagina web: https://yellowgreen-wildcat-234566.hostingersite.com/educacion/mis-publicaciones/
-Bryden,S. et al. Mycobacterium goodi infection in a dog with concurrent hyperadrenocorticism. Vet. Dermatology 2004, 15, 331-338.
Malik, R., Shaw,S.E. et al. Infections fo the subcutis and skin of dogs caused by rapidly growing mycobacteria. Journal of Small Animal Practice. Vol.45.Oct. 2004, 485-494.

