Autor:
Berrocal, A.
Paciente:
Canino, de raza no definida, hembra estéril de 6 años de edad.
Historia clínica:
Ingresa a consulta debido a problemas de una posible dermatitis por alergia a pulgas. Durante el examen físico, se le palpa una masa en la cavidad abdominal. Se decide hacer un ultrasonido observándose un bazo aumentado de tamaño y una masa cavernosa en la zona de la vejiga urinaria, por tal razón se recomendó hacer una laparotomía exploratoria, encontrándose una masa de unos 7.0 cms, la cual estaba adherida a la serosas de la vejiga urinaria y del intestino delgado.

Fig. 1 A-B. Observe que el omento envuelve a la masa, la cual está muy irrigada(hiperemia). Además, hay unas zonas blancuzcas y adherencias. Fotos cortesía de la Veterinaria el Pacífico Central(Herradura).
Nota. Posterior al diagnóstico patológico, se averiguó que la perra había sido esterilizada en otra clínica, aproximadamente dos años y 10 meses atrás.
Hallazgos patológicos:
Macroscópicos: se recibe una masa redonda de 6.0 cms, parcialmente abierta con una pared gruesa. Al corte hay un contenido de aspecto fibrinoso, amarillento a veces se ven como celdillas semejante a una gasa quirúrgica. Ver figuras 2-A-B.
Fig. 2 A-B. Corte longitudinal. En la foto superior se aprecia una cápsula gruesa( color café). En el lumen el contenido es amarillento. La flecha verde señala un material con cerdillas parecidas a la de las gasas quirúrgicas. En la de abajo, parte del material que se extrajo de la masa.
Microscópicos: hay una cápsula gruesa, la cual externamente está compuesta por un tejido adiposo y fibroso. Más internamente, hay múltiples centros de un material un poco gris, seccionado longitudinal y transversalmente, el cual dio positivo a la luz polarizada. Este material está a su vez rodeado por muchos histiocitos con un citoplasma espumoso; aún mas internamente hay un tejido necrótico y amarillento. Ver las siguientes figuras.

Fig.3 A-B. La flecha verde señala la cápsula de la masa. Las azules indican centros de un material extraño. Abajo hay un mayor detalle, observe que hay muchos macrófagos (citoplasma espumoso) rodeando al material.
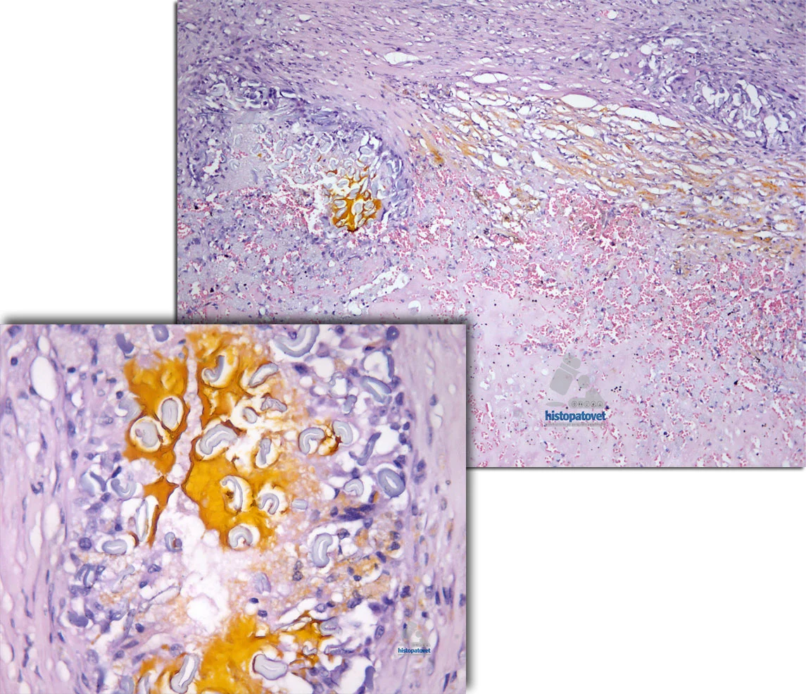
Fig. 4 A-B. Observe que en algunos centros hay un pigmento amarillento( quizás tipo ceroide), el cual está en contacto con el material extraño. En la foto superior, el logo de histopatovet, esta ubicado en una zona de mucha necrosis. La foto inferior para un mayor detalle.
Fig. 5 A-B. Dos fotos con luz polarizada para ver el material. Las flechas muestran como los macrófagos están llenos del material(fagocitosis).
Conclusión diagnóstica: Masa de la cavidad abdominal (adherida a la vejiga e intestino delgado. Los hallazgos histopatológicos descritos son de una peritonitis encapsulada, granulomatosa a cuerpo extraño (esponja quirúrgica del antecedente clínico de esterilización). Este tipo de patología es conocida en la literatura como gossypiboma o textiloma.
Breve discusión:
La reacción inflamatoria por la retención de la gasa quirúrgica se llama Gossypiboma se origina del latín gossypium en referencia a las fibras de algodón de las esponjas o gasas quirúrgicas y de la palabra boma (Swahili) que significa “el lugar de esconderse”. El término Textiloma se refiere el componente de textil de la gasa. También se han usado términos como Gausomas o Gauseomas. En medicina humana se ha estimado una incidencia de 1 de 1,300 cirugías. En medicina veterinaria no hay reportes de incidencia, sólo de casos esporádicos, tanto en perros como en gatos.
Los signos clínicos son inconsistentes o inespecíficos, e incluso pueden no presentarse como ocurrió en este caso. Cuando ocurren dolor de la zona es el principal signo. En perros como sucedió con esta paciente están asociados a las esterilizaciones.
En una revisión de la literatura de nueve casos, el promedio de tiempo entre la cirugía y el diagnóstico de Gossypiboma fue de 9.5 meses, aunque hay reportes de más de 8 años; el caso aquí reportado fue de 2 años y 10 meses.
La retención de la gasa post-cirugía provoca dos diferentes reacciones. Una aguda (menos tiempo), la cual consiste en una respuesta inflamatoria local con formación de un absceso o fístula. La segunda presentación es mas frecuente y es muy crónica, consistiendo en una inflamación aséptica granulomatosa a cuerpo extraño con adherencias, tal y como sucedió en el caso aquí reportado.
Finalmente, además de estas patologías inflamatorias asociadas a la retención de las gasas quirúrgicas, también se ha reportado neoplasias de origen mesenquimal algunas indiferenciadas( sarcomas) otras diferenciadas como fibrosarcomas y osteosarcomas.
Referencias recomendadas.
1-Jamie L. Haddad, et.al. Fibrosarcoma arising at the site of a retained surgical sponge
in a cat. Vet Clin Pathol 39/2 (2010) 241–246.
2-E. E. Corbin, et.al. Foreign body reaction to a retained surgical sponge(gossypiboma)
mimicking an implant associated sarcoma in a dog after a tibial plateau levelling osteotomy. Vet Comp Orthop Traumatol 2013; 26: 147–153.
3-W. Mai, et.al. Ultrasonographic appearance of intra-abdominalgranuloma secondary to retained surgical sponge. Veterinary Radiology & Ultrasound, Vol. 42, No. 2, 2001, pp 157-160.

