Autor:
Berrocal, A.
Paciente:
Gata estéril, sin raza definida, de 3 años de edad. Vivía en la casa con otros gatos y perros. La dueña no reporta haber observado ningún signo clínico previo a su muerte, indicando que murió de forma súbita en el transcurso de la noche. Nota: La dueña reportó que su tasa de comida (gata) siempre estaba llena. Hallazgos macroscópicos: Al abrir el cadáver, en todo el subcutáneo había mucho tejido adiposo. También la cavidad abdominal, mostraba un gran panículo adiposo, el cual abarcaba casi toda la cavidad. Ver las siguientes dos figuras.

Fig. 1. A la izquierda arriba, la cavidad torácica, la flecha indica el músculo diafragmático; a la derecha abajo, se ve el contenido de la cavidad abdominal. Todo el tejido blanco es grasa adherida al omento.
El hígado, por su parte, de forma difusa, mostraba una coloración amarillenta. La cavidad torácica: El corazón no era visible, ya que estaba completamente envuelto por un saco pericárdico totalmente grasoso. Al extraer el corazón este mostraba tanto debajo del epicardio como del endocardio zonas o áreas, bastante difusas, de color blanco. Ver las siguientes tres figuras.

Fig.2. A la izquierda arriba, el corazón no se aprecia por estar totalmente cubierto por un tejido blanco (saco pericárdico) grasoso. Al centro, al abrir el saco pericárdico se observa el corazón. A la derecha parte superior, el corazón con mucho tejido blanco( grasa).
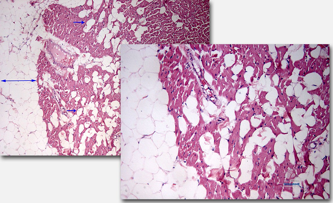
Hallazgos microscópicos: Los principales cambios fueron; la formación de vacuolas vacías en el miocardio especialmente debajo del epicardio. Ver las siguientes cuatro figuras.
Nota: recordar que durante el procesamiento para los tejidos en parafina y luego ser teñidos con Hematoxilina y Eosina se usan alcoholes y xiloles los cuales disuelven la grasa, quedando vacuolas o espacios vacíos.
Fig.3. Miocardio. La flecha grande indica el tejido adiposo subepicárdico, las pequeñas son las vacuolas dentro del miocardio. A la derecha un acercamiento.
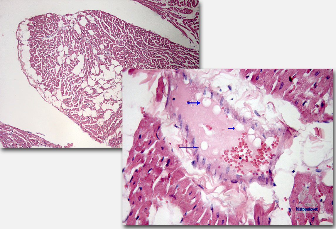
Fig.4. A la izquierda el músculo papilar, con vacuolas. A la derecha un vaso sanguíneo con vacuolas, posiblemente de grasa (ver flechas).
De forma difusa, los hepatocitos mostraron múltiples vacuolas vacías (lipídosis hepática). Ver las siguientes dos fotos. Las flechas muestran las vacuolas vacías.

Fig.5. De forma difusa los hepatocitos muestran las vacuolas. A la derecha un acercamiento. Causa de muerte: Insuficiencia cardio-respiratoria.
Fig. 6. Parénquima pulmonar. Las flechas señalan un material rosado dentro de los alveolos (edema pulmonar). En la parte superior el pulmón, con un aspecto rojizo difuso.
Definición de obesidad: Para algunos autores, es la excesiva acumulación de tejido adiposo en el cuerpo, la cual puede traer efectos secundarios de morbilidad y mortalidad.
Otros autores la han definido como un aumento del 15% más de su peso normal (sobrepeso). En Estados Unidos se estima que cerca de un 35% de perros y gatos presentan sobrepeso.
Principales factores de riesgo (ver literatura recomendada): los machos, la esterilización (ambos sexos), los cruces o sin raza definida, los de ( 4-6 años), están reportados como pacientes con mayor riesgo de contraer obesidad. Otros factores de riegos que se ha reportado los siguientes: si vive solo, si no hay perros viviendo con ellos, la poca actividad física, sobre todo si pasa mucho tiempo en la casa, si lo alimentan con carne fresca o pescado, si lo alimentan sin restricciones (ad libitum).
Enfermedades o patologías asociadas: Para algunos autores estos pacientes son tres veces más propensos a desarrollar problemas locomotores. También son más predispuestos a desarrollar diabetes mellitus e insulina resistentes. Además, de poder causar una lipídosis hepática asociada a periodos de anorexia prolongada y factores estresantes.
RECORDATORIO: La mayoría de tejido adiposo que vemos es el conocido como blanco como la de ese caso; pero también existe la gris. La función principal del tejido adiposo es como reserva de una fuente de energía en forma de triglicéridos. Pero además, sirve como de protección de los órganos y como fuente de calor.
Definición de Adipositas Cordis: Es una patología reportada en humanos y recientemente dos casos en gatos( ver bibliografía) poco frecuente, la cual se caracteriza por una muerte súbita, en pacientes que no han tenido ninguna patología cardiaca o de otra índole. Microscópicamente, se caracteriza por la presencia de tejido adiposo dentro de las fibras del miocardio, sin que ocurra necrosis( inflamación) o fibrosis. Estos cambios están presentes en el caso aquí presentado.
Bibliografía recomendada.
-Debra L. Zoran. Obesity in Dogs andCats: A Metabolic and Endocrine Disorder. Vet Clin Small Anim 40 (2010) 221–239
-F.J. Allan, D.U. Pfeiffer, B.R. Jones, D.H.B. Esslemont, M.S. Wiseman. A cross-sectional study of risk factors for obesity in cats in New Zealand. Preventive Veterinary Medicine 46 (2000) 183-196.
-Laurence Colliard, Bernard-Marie Paragon, Beatrice Lemuet, Jean-Jacques Benet, Geraldine Blanchard. Prevalence and risk factors of obesity in an urban
population of healthy cats. Journal of Feline Medicine and Surgery (2009) 11, 135-140.
-Parisi,F, et al. Adipositas Cordis in Two Cats with Sudden Death. J. Com. Pathol. 2020, Vol. 176, 151-155

