Autor:
Berrocal, A.
Breve Introducción:
Tiempo atrás por medio de nuestra página web se recomendó para su lectura un artículo titulado “Inflamación vs Cáncer”. Ahora, de forma breve, desarrollaremos unos de los conceptos (ejemplos) mencionados en ese artículo.
Sarcoma felino en sitios de inyección:
En 1991 por primera vez dos autores (Hendrick and Goldschmidt), describen una nueva patología neoplásica en gatos, relacionada con el uso de la vacuna de rabia, acuñando el nombre de “SARCOMA ASOCIADO A VACUNA”. Sin embargo, más recientemente, además de los gatos, se ha reportado en perros, y hay un caso equino.
Tanto en caninos como en felinos, se ha visto que estos sarcomas, no únicamente se desarrollan posterior a la aplicación de una vacuna, sin no que también como reacción a otros cuerpos extraños, no inyectados, como por ejemplo, chips, torundas quirúrgicas, etc. Por esta razón, actualmente, en la literatura, se les conoce como “SARCOMAS EN SITIOS DE INYECCIÓN”.
Algunos datos clínicos:
El periodo de latencia es muy amplio, variando de 3 meses a 3-10 años; sin embargo, hay dos épocas de mayor incidencia. La primera de 6 a 7 años y la segunda de 10-11 años. La mayoría de casos reportados, se han relacionado con la vacuna de rabia y con la de Leucemia Felina, pero no relacionada a ninguna marca comercial específica.
En un extenso trabajo (diferentes estados de Estados Unidos), publicado por Kass, P.H. et.al. 2003 (ver referencias). Se estudiaron 1,589 casos(gatos). Siendo el grupo más afectado los gatos domésticos. Hubo una mayor (leve)incidencia, en hembras que en machos. Sin embargo, no se encontraron datos significativos entre fértiles y esterilizados(as).
En relación con la localización anatómica. 84% se localizaron en la región torácica dorsal (cuello, interescapular). Otras sedes reportadas fueron: la femoral(nalga) 6%, los flancos 5%, etc. Ver. Fig. 1.
Otros datos reportados que no mostraron tener ninguna predisposición para desarrollar esta neoplasia; es decir no son determinantes, los cuales podrían ser de interés clínico informativo, fueron:
A- El mezclar varias vacunas en una misma jeringa.
B- Usar jeringas usadas, luego de ser esterilizadas( químicos o autoclave).
C- Usar jeringas de diferentes casas comerciales.
D- El grosor y largo de la aguja( mayor o menor trauma al momento de inyectar).
E- El batido( dosis múltiples) de los viales, antes de vacunar.
F- El masaje posterior a la inyección.
G- Finalmente los tipos( rabia, leucemia y rinotraqueitis, calicivirus y panleucopenia).
Hallazgos patológicos:
El tumor es de origen mesenquimal( no epitelial), estando involucrado dos tipos de células los fibroblastos y los miofibroblastos.
El termino SARCOMA, se usa de manera general, lo cual significa un tumor de origen mesenquimal no diferenciado. Dentro de este grupo las neoplasias mas reportadas han sido los fibrosarcomas.
Para poder diferenciar que tipo de Sarcoma es, se debe recurrir a la inmunohistoquímica( marcadores celulares).
Su patogénesis, esta asociado a las citoquinas inflamatorias y la transformación celular( se recomienda la lectura del articulo Inflamación Vs cáncer).
Diagnóstico: Es muy importante el historial clínico, de ahí que en muchos países, se recomienda el tener siempre un protocolo de vacunación; con la fecha, el tipo de vacuna, vía de aplicación y sede anatómica.
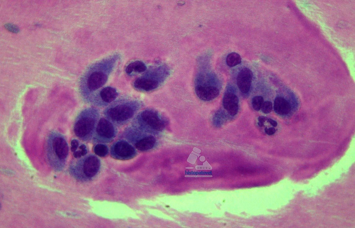
La citología no ha probado ser buena herramienta, hay trabajos que reportan un 50 % de certeza. Ver. Fig.2.

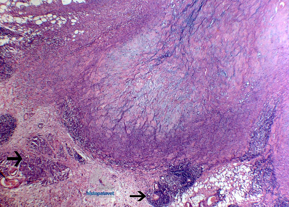
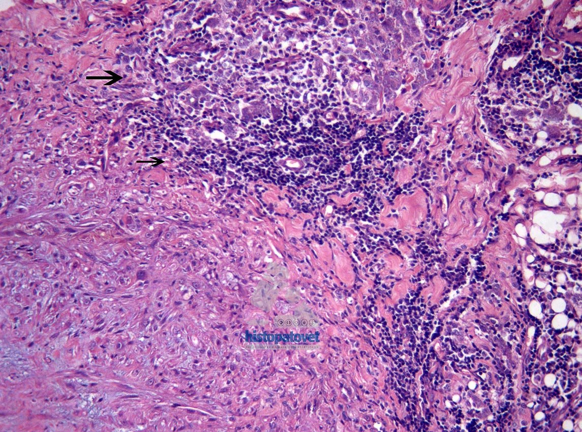
El principal hallazgo histopatológico es encontrar especialmente en la periferia del tumor una respuesta inflamatoria sobre todo a base de linfocitos y macrófagos. Estos últimos fagocitando algún material extraño, que generalmente son remanentes de la vacuna o aluminio (coadyuvante). Ver las siguientes tres figuras(3,4,5).

Fig.3. La masa principal en el centro. En la periferia( ver flechas), Hay acúmulos de células inflamatorias.

Fig. 5. Macrófagos, fagocitando un material granular(flecha grande) y linfocitos( flecha pequeña).En el plan diagnostico, antes de decidir el tipo de biopsia a utilizar, es recomendable tomar una radiografía de tórax( por lo menos dos vistas laterales), para descartar alguna metástasis.
En masas cercanas a la cavidad abdominal, se recomienda un ultrasonido. También, la resonancia magnética. Además, un hemograma completo, perfil metabólico y estado serológico de Leucemia (FeLV) y Inmunodeficiencia felina.
La biopsia excisional es la mas recomendada. En casos de realizar una incisional, ya sea quirúrgica o tipo punch, estas deben ser profundas.
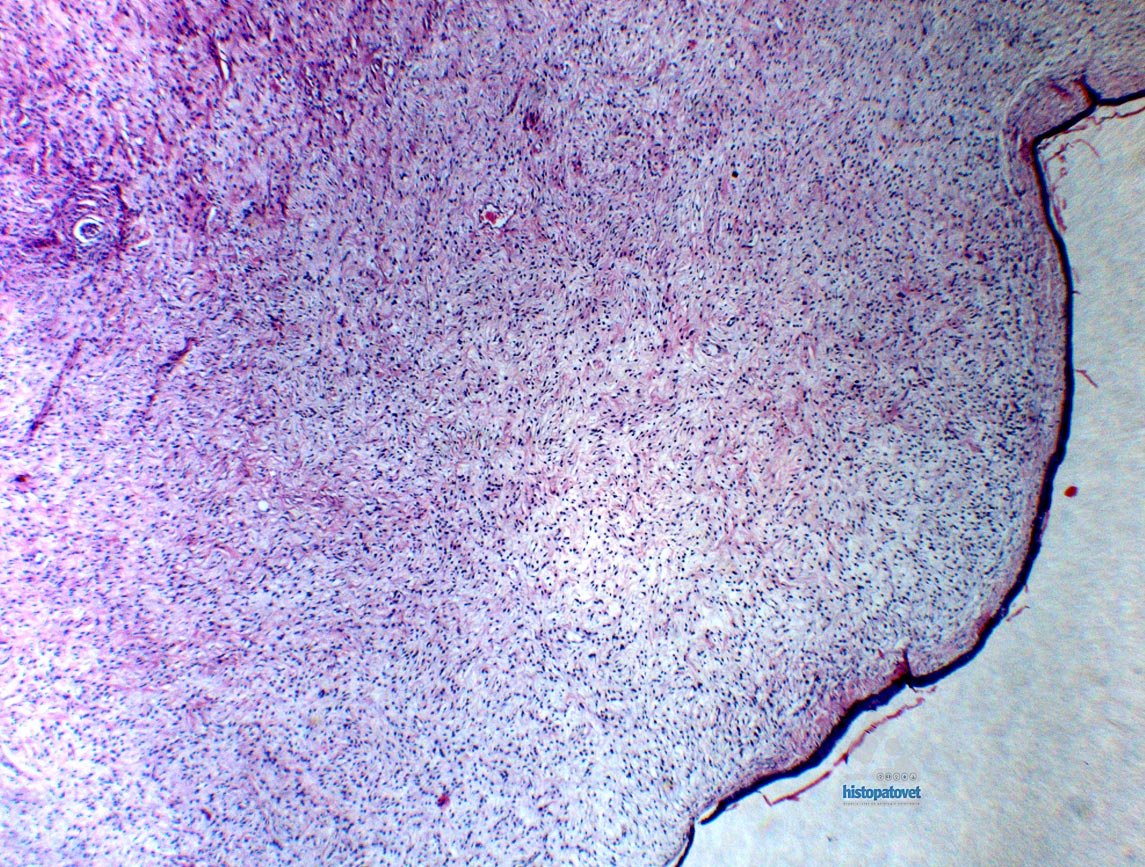
Recordar que es muy critico el concepto de los bordes quirúrgicos profundos. Ver fig.6y7.


Fig.7. Sus bordes profundos son muy irregulares.Diagnostico Diferencial: Siempre hay que recordar, que no toda masa o nódulo es neoplásica. Aun siendo neoplásica en una sede anatómica indicativa de este tipo de sarcomas, podría ser un sarcoma, pero no necesariamente estos post-vacúnales. A manera de ejemplo. Fig.8.

Fig. 8. Este es un fibrosarcoma, de una masa removida de entre los dos platos escapulares. Vea que no hay inflamación. El gato nunca había sido vacunado en esa sede anatómica.Tratamiento: No existe uno especifico. El principal es quirúrgico. Debido a que se ha reportado un grado de recurrencia hasta de un 45%, con uno de metástasis de 0 a 28%, es muy importante los márgenes quirúrgicos. Los autores recomienda de 3 a 5 cms. También, se ha utilizado la radioterapia y la quimioterapia, especialmente en combinación con la cirugía.
Las drogas que mas se han usado son la Doxoribucina, Carboplastina y la Ciclofosfamida.
Algunas referencias de lectura recomendadas:
-Martano,M., Morello,E. and Buracco,P. Feline Injection Site-Sarcoma: Past, present and future perspectives.
-The Veterinary Journal 188(2011),136-141-Kass, P.H., Spangler,W.L et.al. Multicenter case-control study of risk factors associated with developmente of vaccine-associated sarcoma in cats.
-JAVMA, Vol. 223,No.9, Nov 1, 2003.-Haddad,J.L. Goldschmidt,M.H, and Patel,R.T. Fibrosarcoma arising at the site of a retained surgical sponge in a cat.
-Vet. Clin. Pathology 39/2(2010) 241-246-Kannegieter,NL et.al. Myofibroblastic fibrosarcoma with multifocal osseous metaplasia at the site of equine influenza vaccination. Australian Vet. J. 2010; 88: 132-136.

