Autor:
Berrocal, A.
Paciente:
Beagle, macho fértil de 7 años de edad.
Historia Clínica:
El 22 de febrero del 2012 por medio de la prueba de SNAP shot se reportó una disminución de la T-4 total(< 0.50 μg/dl. Ref. 1.6-5.0). Posteriormente, 21 de mayo se midió la TT-4 (2.2 μg/dl. Ref. 1.0-4.0). Luego se continuo evaluando hasta el 12 de agosto del 2014; realizándose durante todo este tiempo cinco mediciones más de TT-4, con valores que oscilaron de 1.1 al 2.5 mg/dl.). Por esta razón estaba con tratamiento con levotiroxina. También, durante todo este tiempo, se realizaron tres diferentes hemogramas y químicas sanguíneas renales y hepáticas, en todas se reportaron valores dentro de los rangos normales.
La dueña indica que día 19 de setiembre del 2014, el paciente amaneció bien. Una hora después de comer inició con una conducta aberrante, defecando en un lugar no habitual, poco después lo notaron con mucho jadeo y quejándose de un aparente dolor. Se postró y empezó con una respiración abdominal, luego empezó con contracciones y mucosas pálidas, entrando en un estado de shock, y muriendo una hora después de haber iniciado sus primeros signos clínicos.
Principales hallazgos macroscópicos: Las mucosas externas estaban pálidas. Al abrir la cavidad abdominal, se encontraba llena de sangre no coagulada. Ver las siguientes dos fotos.

Fig. 1. A la izquierda(arriba), la cavidad abdominal está abierta y llena de sangre no coagulada. A la derecha(abajo), el bazo esta aumentado de tamaño y cubierto parcialmente por el omento.
El bazo estaba aumentado de tamaño. Presentaba una masa en su 1/3 medio de unos 6.0cms de diámetro, con el omento adherido y con una perforación de unos 2.0 cms. Ver siguiente figura.
Fig.2. La flecha azul muestra la perforación. La flecha larga indica la masa central con el omento(tejido blanco) adherido. Los dos flechitas superiores señalan dos nódulos satelitales.
El hígado. En ambas caras (parietal y visceral) y de forma multifocal, habían unas zonas blanquecinas-amarillentas de 0.40 a .080 cms, las cuales estaban localizadas debajo de la serosa. Ver siguientes fotos.

Fig. 3. Hígado cara parietal y visceral mostrando múltiples zonas blanquecinas y amarillentas. Ver pequeñas flechitas oscuras.Los principales hallazgos microscópicos se mostrarán en las siguientes figuras histológicas.

Fig.4 Imagen histológica del hematoma esplénico. Observe la no presencia de pulpa blanca o roja. El parénquima ha sido sustituido por vasos sanguíneos, eritrocitos y zonas de necrosis. Ver zona marcada por la flecha
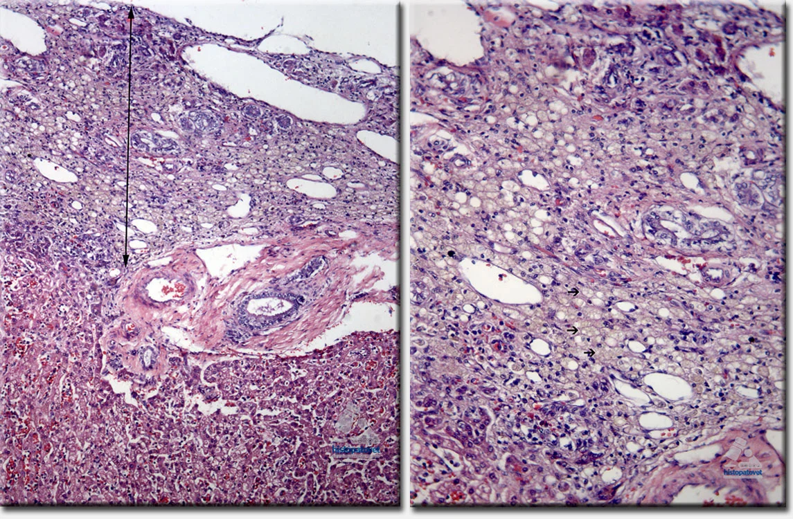
Fig.5. Hígado. La flecha muestra una amplia zona debajo de la serosa, la cual ha remplazando al parénquima hepático. A la izquierda un detalle de la lesión, donde se aprecia la formación de vacuolas vacías y macrófagos con un pigmento amarillento( ver flechitas).
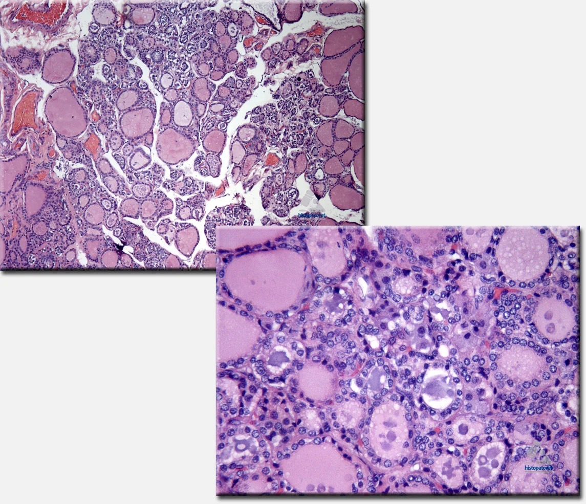
Fig. 6. Tiroides. A la izquierda(arriba), se observa varios folículos con coloide( material rosado). A la derecha un detalle. Los folículos están disminuidos de tamaño o han desaparecido. En otros folículos su contenido rosado ha sido sustituido por uno morado.CONCLUSIÓN DIAGNÓSTICA: La principal patología fue un hematoma esplénico o del bazo, el cual por razones no determinadas, quizás algún trauma previo(golpe) o por una acción espontánea, se rompió, provocando un hemoperitoneo agudo, con consecuente hipoxia/anoxia celular y muerte. Además, secundariamente había un material lipídico con presencia de un pigmento tipo ceroide, subcapsular hepático. También el bazo presentaba nódulos de gamna gandy. Adicionalmente, había una disfunción de la glándula tiroidea, (hipotiroidismo, antecedente clínico).COMENTARIO FINAL: Hay reportes de que pacientes con un hipotiroidismo pueden causar una lipidosis, sobre todo ocular y también trastornos de coagulación.
Breve discusión:
Existen en la literatura( ver referencias), varios trabajos sobre las múltiples causas de muerte, las cuales desde luego son muy diversas y en algunos casos es imposible determinarlas con exactitud. Por ejemplo en el trabajo publicado por Eleni, C y coautores; los tres principales grupos fueron: enfermedades infecciosas (23.45), envenenamientos(17.1%) y patologías de origen inflamatorias (14.0%). Por el contrario en otro trabajo( Olsen T.F.) realizado en perros que fallecieron sin presentar signos clínicos( “sudden and unexpected deaths in 151 dogs”) como el paciente aquí presentado, el principal grupo fue cardiaco(21.9%), con un quinto grupo de un 6.6 % de casos clasificado como hemorragias no asociadas a traumas, como sucedió en este caso.
Cerca de un 95% del hipotiroidismo canino, es el resultado de una patología primaria de la glándula tiroidea, ya sea inflamatoria( tiroiditis linfocítica) o idiopática atrófica, como sucedió en este paciente. La forma secundaria es poco frecuente( menos de un 5%), siendo causada por una disminución de la hormona tiroidea estimulante( TSH), casi siempre a consecuencia de una neoplasia a nivel de la glándula pituitaria.
Los principales signos clínicos reportados en el hipotiroidismo canino son: disminución de la actividad física y mental (intolerancia y letargia). Además, se considera que un 80% de los pacientes pueden presentar problemas de piel, cosa que no sucedió en este paciente, quizás por estar en tratamiento. Llama la atención que los depósitos de lípidos han sido reportados especialmente a nivel ocular. En este paciente el material encontrado a nivel del hígado, podría tener un componente lipídico.
Finalmente, es importante darse cuenta de la relevancia de investigar a través de un estudio patológico completo, las causas de enfermedad y muerte de los pacientes que ustedes tienen bajo control y que mueren estando en tratamiento.
Referencias recomendadas.
-Eline, C. et al. Causes of death in dogs in the province of Rome( Italy). Veterinaria Italiana 2014, 50(2),137-143.
– Graham,P. Canine Hypothyroidism: diagnosis and therapy. In Practice. Febreary 2009. 31:77-82.
– Olsen,T.F. and Andrew L. Allen. Causes of sudden and unexpected death in dogs: A 10-year retrospective study. Can. Vet. J. Vol.41-Nov.2000.
-Tappin,S et al. Canine hypothyroidism: making a defenitive diagnosis. Vet. Ireland Journal. Vol 4 Number 9

