Autor:
Berrocal, A.
Definición de quiste: significa una estructura formada por una pared de origen epitelial, con una cavidad la cual puede estar vacía o tener un contenido( lumen) secretado por las células que componen su pared. Ver siguiente figura 1.

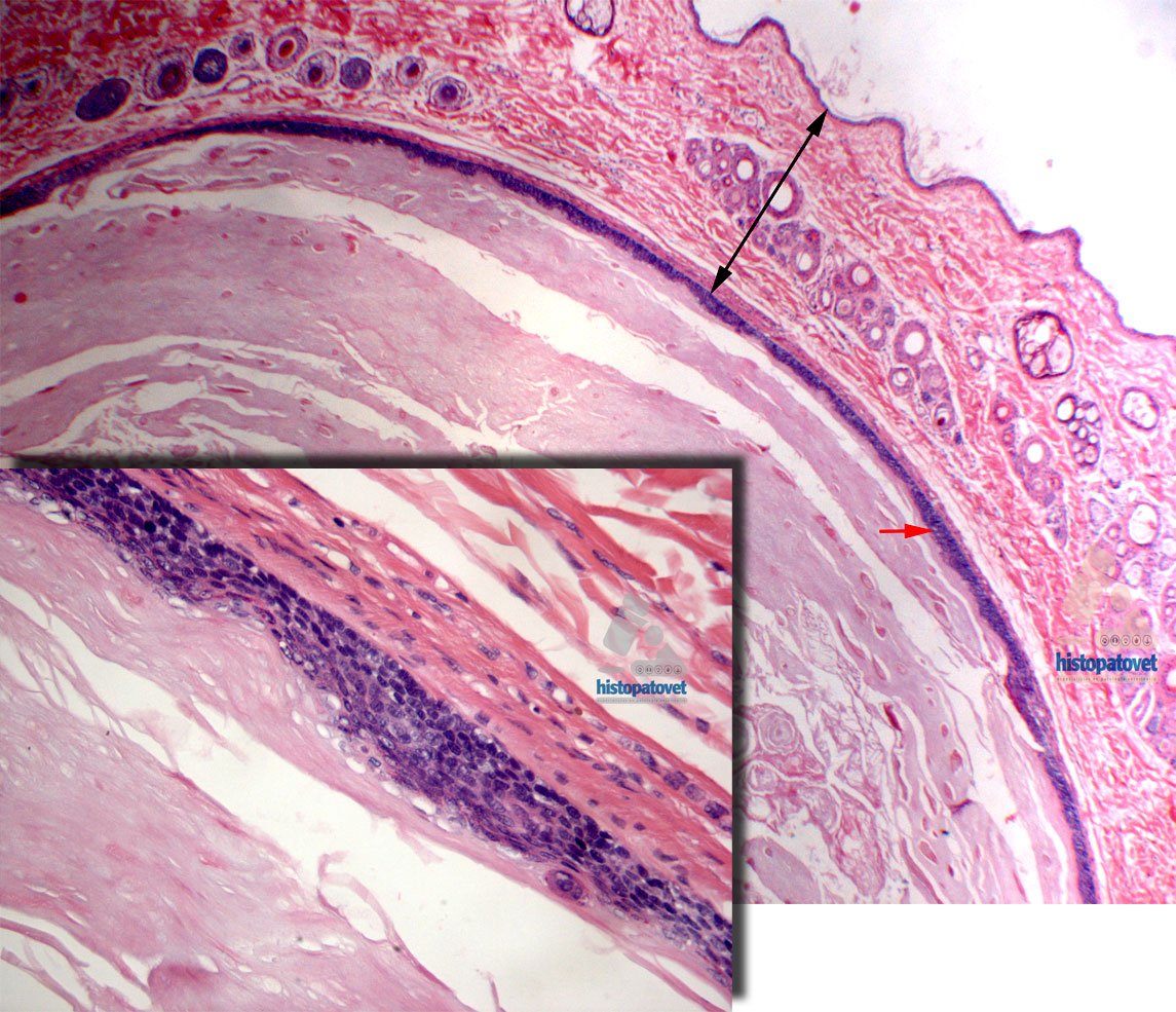
Fig.1. Quiste folicular infundibular. La flecha azul a la derecha, indica el grosor de la pared. Lo rojo laminar es la queratina.Los quistes en general pueden ser de origen neoplásicos o no neoplásicos. Por esta razón existen una gran variedad de quistes, por ejemplo los de piel o cutáneos (foliculares, dérmicos, de las glándulas sudoríparas, etc. ). También están los de la glándula mamaria, ováricos, endometrio, vías biliares, etc. En cada caso su nombre dependerá de las células que forman su pared. Los quistes cutáneos: son considerados como no neoplásicos. En medicina veterinaria existen tres diferentes tipos. Ellos son: – Los epidérmicos o epidermales. – Los foliculares. – Los dérmicos o dermoides. De los tres grupos anteriores, los FOLICULARES( se origina del folículo piloso) son los más frecuentes, estando mayormente reportados en perros. En esta oportunidad únicamente comentaremos los foliculares. Estos quistes foliculares pueden tener una presentación clínica/patológica de solitarios o únicos o por el contrario pueden ser múltiples( varios). Los quistes solitarios o únicos: la etiología o causa es en general desconocida. En la literatura hay casos asociados a traumas( retención de la queratina). También hay descritos casos congénitos. Generalmente son bien circunscriptos, redondos, sólidos o suaves, midiendo de 0.50 a 5.0 cms. Ver fig.2

Fig.2. Un quiste folicular solitario. La flecha indica un punto de necrosis.Existen casos en donde pueden tener una abertura( poro), por el cual secretan un material pastoso o caseoso de color amarillento a grisáceo. Fig. 3.

Fig.3. Al la izquierda la flecha indica una abertura con secreción. A la derecha un corte longitudinal, mostrando su contenido.En la literatura, hay algunos trabajos que indican la no predilección de razas, sin embargo la experiencia en HISTOPATOVET es que razas como el Cocker y el Schnauzer son predisponentes. En relación al sexo no hay predisposición. Las sedes anatómicas mayormente reportadas son: la cabeza, cuello, tronco y extremidades. Además, de los caninos, están reportados en otras especies como gatos, equinos, aves silvestres, etc. En general su crecimiento es muy lento, pudiendo pasar meses sin crecer (estables). Sin embargo, hay bastantes casos en donde su crecimiento es rápido, esto ocurre cuando por alguna causa, especialmente trauma, la pared del quiste se rompe, liberando su contenido al medio(dermis/ subcutáneo), provocando una inflamación pio-granulomatosa ( piodermia) a cuerpo extraño interno. Por esta razón está contraindicado el hacer presión fuerte a los quistes, ya que pueden provocar su ruptura, con consecuente inflamación a cuerpo extraño. Fig.4.

Fig.4 Las flechas señalan restos de queratina, los cuales están rodeadas por muchas células inflamatorias, especialmente polimorfos y histiocitos.Los quistes múltiples: se cree que son de origen congénito en perros jóvenes. Pero también se han relacionado a traumas crónicos en puntos de presión. Debido al trauma hay proliferación de tejido fibroso, el cual causa obstrucción del folículo con retención de la queratina. Fig.5.

Fig.5. A la Izquierda. Paciente con tres diferentes quistes en la zona frontal. A la derecha una dermatitis crónica, con múltiple quistes.Histológicamente hay varios subtipos; todo dependerá del componente histológico o celular del folículo piloso de donde el quiste se está originando.
Los subtipos son: infundibulares, istmus, matrical y los híbridos o mixtos.
De estos subtipos los infundibulares(en el pasado conocidos como “epidermoides”) son los más frecuentes, en segundo lugar los de istmus. Fig6.

Fig.6. Compare el aspecto de la pared de este quiste, con el de la fig.1. La flecha indica el espacio entre la epidermis y la pared del quiste.
Por tener una presentación clínica nodular o de masa, el principal diagnóstico diferencial es una neoplasia.
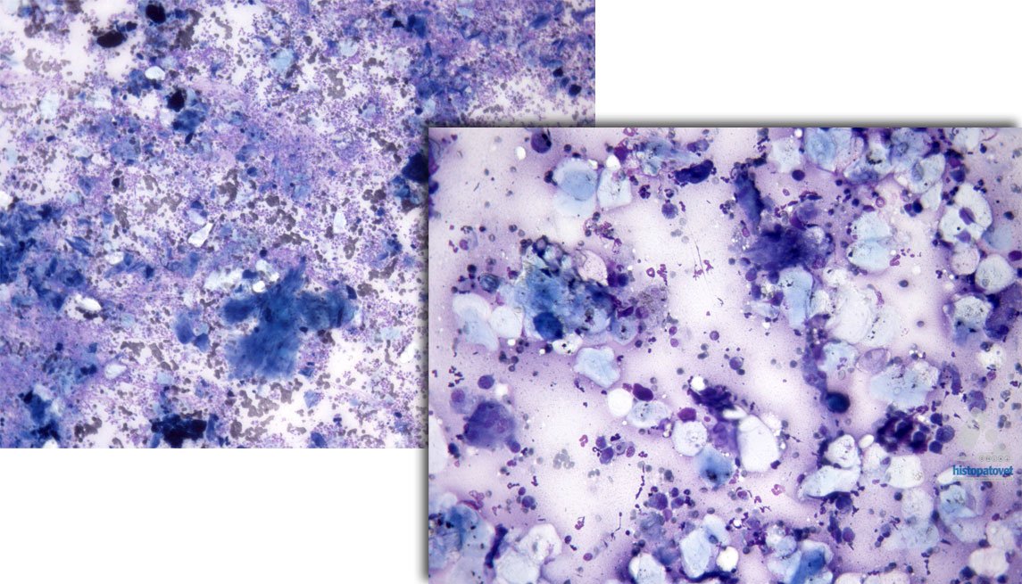
Las dos principales herramientas diagnósticas son la citología por aspiración con aguja delgada. Ver figura 7.
La histopatología es más definitoria. Además, sólo con histopatología se pueden establecer los subtipos.
El tratamiento más indicado es quirúrgico.

Fig. 7. Aspecto citológico de un quiste. Además de las células queratínicas hay también inflamatorias.
Referencias recomendadas:
- Gross, TL, Ihrke,PJ, Walder, EJ, and Affolter, VK. Skin Diseases of the Dog and Cat. Clinical and Histopathological Diagnosis. Second edition. 2005.
- Berrocal, A. Multiple and Feather Follicular cyst in a canary. Presented as a poster at North American Veterinary Dermatology Forum, April 14-17. Portland, USA. El Abstracts se puede ver en Veterinary Dermatology, Vol. 21, No.3, June 2010, Pag. 313.
- Park, Jin-Kyu, Hong, II-Hwa et al. Multiple perianal infundibular follicular cysts in a dog. Veterinary Dermatology. Vol. 21, No. 3, June 2010,303-306.
