Autor:
Berrocal, A.
Historia clínica:
Ingresa a consulta por la presencia de una masa en una de las glándulas mamaria(no se especifica en cual de ellas). Su tiempo de evolución es impreciso “vista hace unos días”.
Hallazgos microscópicos: Se recibe una biopsia de una glándula mamaria de 3.50×2.50×1.0 cms de diámetro, con un pezón. A la superficie de corte, hay una masa encapsulada, de aspecto solido. Ver Figs. 1,2.

Fig.1,2. En la foto superior se ve el aspecto normal de la piel. El trozo de la derecha ( ver la flecha), muestra un pezón. En la foto inferior se observa, el aspecto solido del tumor, el cual esta debajo de la dermis. La flecha es el borde inferior interno.
Hallazgos microscópicos: Masa parcialmente encapsulada, con mucha necrosis(Fig. 3).

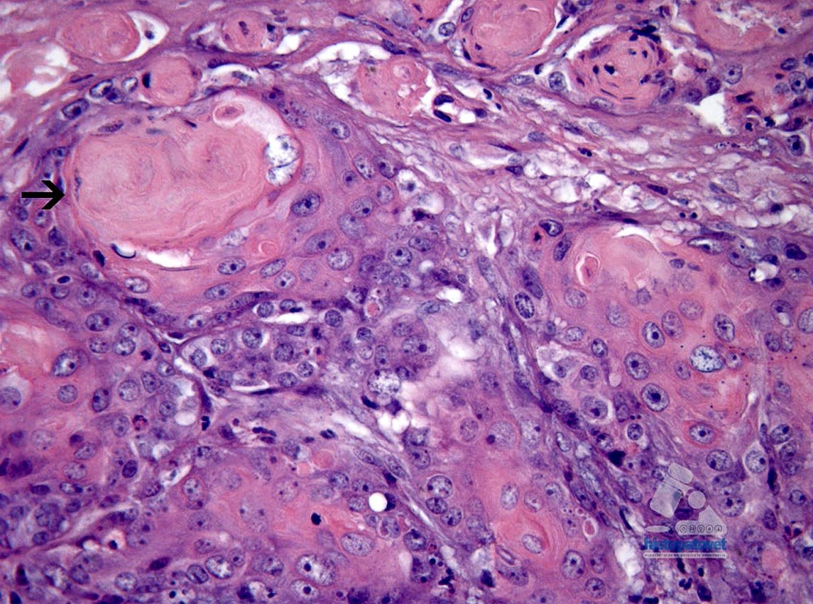
Además, hay un crecimiento de células neoplásicas, con un patrón solido. Son células polimórficas, basofílicas (Fig.4).

Fig.4. Las flechas indican centros de formación de queratina.El núcleo es redondo-ovalado, pálido, con uno o dos nucléolos. Además, en muchas partes, las células muestran un clara diferenciación a células escamosas( Fig. 5).

Fig.5. Las flechas indican presencia de queratina.
Conclusión diagnóstica:
Biopsia excisional de la glándula mamaria. Se trata de una neoplasia/tumor clasificado como CARCINOMA DE CÉLULAS ESCAMOSAS DE LA GLÁNDULA MAMARIA.
Comentario final: Estos Carcinomas Escamosos, en esta sede anatómica, son poco frecuentes. La literatura indica dos diferentes orígenes:
Uno es que el tumor se origina de un ducto mayor (pezón), el cual histológicamente está revestido por células epiteliales escamosas.
La segunda opción, es que primero, las células epiteliales de los ductos sufren una metaplasia, y posteriormente se transformen en neoplásicas. Esta metaplasia asociada a carcinomas de células escamosas, ocurre en otros órganos glandulares.
De acuerdo a Michael Goldschmidt ( University of Minnesota), en muy pocos casos, estos carcinomas pueden hacer metástasis a los linfonodos regionales.
Algunos breves conceptos:
A. EL CONCEPTO DE METAPLASIA: Es cuando una célula adulta o madura, es reemplazada por otra adulta, de su misma línea celular.
Las causas son diversas, desde irritaciones permanentes y crónicas, hasta los excesos de estrógenos.(Fig.6)

Fig. 6. Esquema donde las células respiratorias, con participación de células madres, van perdiendo su forma normal de células columnares ciliadas hasta convertirse en células displásicas y luego en neoplásicas.B. NEOPLASIAS(TUMORES) DE LA GLÁNDULA MAMARIA EN PERRAS:
Los tumores de la glándula mamaria de las perras, especialmente las fértiles, intactas o no castradas, son los mas frecuentes. Los datos varían de acuerdo a los autores( estudios).
En general se estiman en un 42% de todos los tumores, es decir por encima de los cutáneos y hematopoyéticos. De ellos, cerca de un 40 a 50% son benignos.
Esta alta incidencia, muy probablemente este relacionada a la cantidad de glándulas mamarias que las perras tienen. Por ello las clasificaciones microscópicas o histopatológicas son también muy extensas. En la ultima clasificación publicada por M. Goldschmidt, and others ( Veterinary Pathology,2011), hay cerca de 32 diferentes tumores malignos y cerca de 16 benignos, incluyendo entre otros, a las ectasias ductales.
C. CARCINOMA DE CÉLULAS ESCAMOSAS:
Es una neoplasia maligna, que se origina de células epiteliales, que muestran una diferenciación a queratinocitos( productores de queratina), de ahí que son muy comunes a nivel de la piel y en las uniones mucocutáneas.
Están descritos en una gran cantidad de especies tanto en mamíferos domésticos como en no domésticos, siendo muy comunes en caninos, equinos, felinos, bovinos. En menor grado en pequeños rumiantes y cerdos.
Las siguientes tres figuras(7,8,9) son ejemplos de un Carcinoma de Células Escamosas Dérmico, en tres diferentes especies.

Fig.7. Equino de piel DESPIGMENTADA. Lesión ulcerada en el parpado inferior( ver flecha).Muy probablemente asociada a la exposición solar.
Fig.8. Canino. Zona abdominal ventral. Observe que en esta caso, su presentación es difusa, eritematosa, con ulceración.
Referencias recomendadas:
- Miller,M.A., Kottler,S.J. et al. Mammary duct ectasia in dogs:51 cases(1992-1999). JAVMA, Vol 218,No8, April15,2001.
- Sorenmo,K. U. Canine mamamry gland tumors. Vet. Clin. Small Animal. 33(2003) 573-596.
- Sorenmo,K.U. et al. Effect of Spaying and Timing of Spaying on Survavival of Dogs with Mammary Carcinoma. J. Vet. Intern.Med. 2000;14:266-270

