Autor:
Berrocal, A.
Historia clínica:
Ingresa por primera vez a consulta, con la historia clínica, de lesiones costrosas en la porción dorsal de la nariz (plano nasal), las cuales han estado presentes desde hace un mes. Ver las siguientes dos figuras( 1y2).

También presentaba una lesión similar en la cara interna de ambos pabellones auriculares(orejas). Ver siguiente figura( Fig.3).

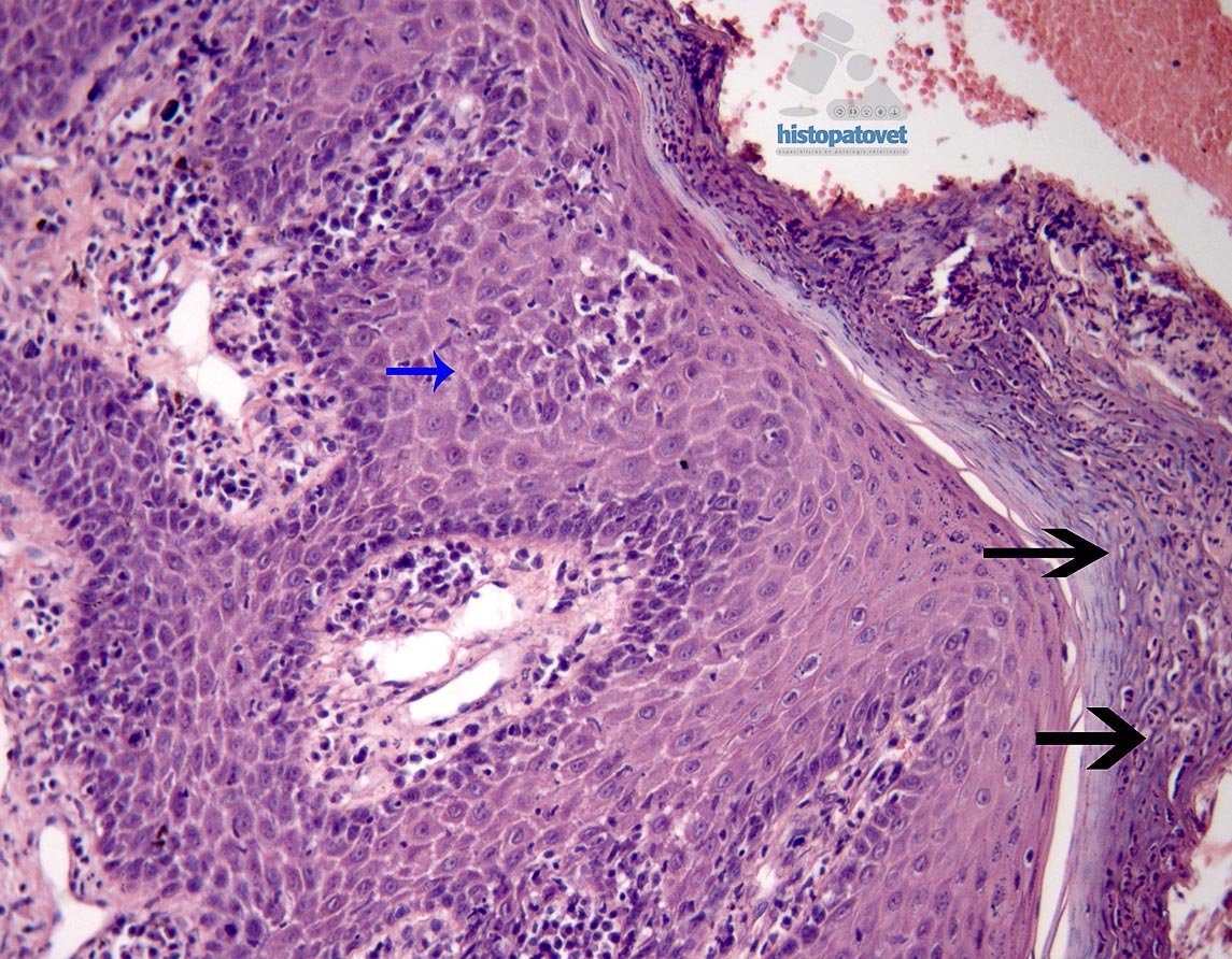
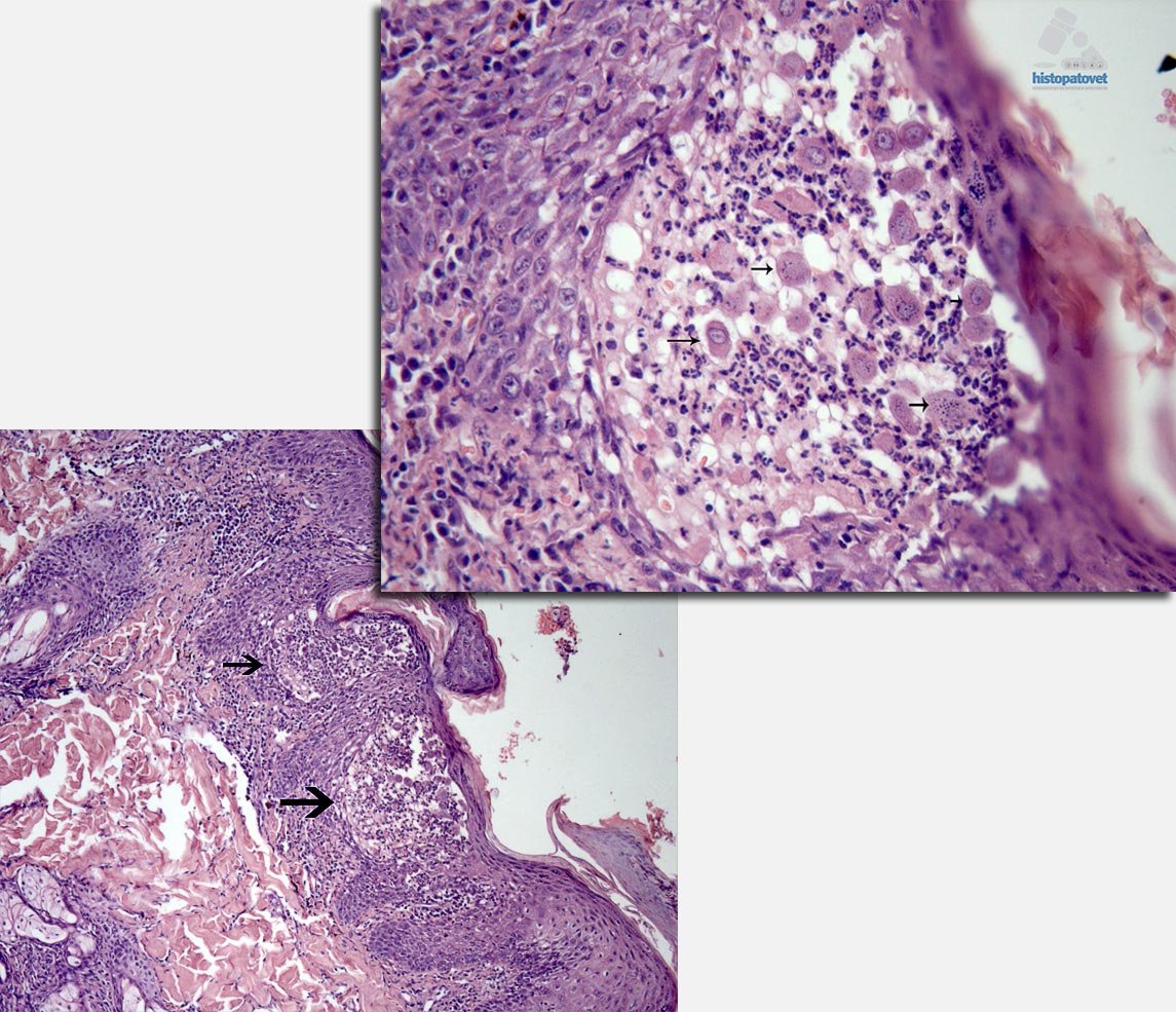
Breve descripción de los hallazgos histopatológicos:
Se reciben dos pequeños punchs dérmicos. La epidermis, presento una hiperqueratosis ortoqueratótica con formación de costras( Fig4.).

En varias partes los queratocitos muestran palidez, con zonas de degeneración, provocando necrosis y separación de ellos. Como consecuencia se formaron cavidades( pústulas), con presencia de polimorfonucleares y queratocitos libres(Fig5. y 6.).

Conclusión diagnóstica:
Los hallazgos histopatológicos son de una enfermedad autoinmune del grupo de los pénfigos. Los cambios morfológicos son similares a los descritos en el PÉNFIGO FOLIÁCEOS, con una presentación predominantemente NASAL.
Concepto:
El grupo de dermatologías mediadas por inmunidad, han sido divido en dos diferentes grupos.
- A- LAS AUTOINMUNES: Estas suceden cuando el sistema inmune falla para tolerar o soportar sus propias proteínas( se le conoce como tolerancia inmune). Como consecuencia el organismo provoca o reacciona contra sus propias estructuras (células y sus componentes); por medio de anticuerpos o linfocitos activados. Por esta razón causa lesiones o patologías, muy diversas; de ahí la variedad de enfermedades o patologías agrupadas en este grupo de autoinmunes.
- B. LAS INMUNO MEDIADAS O MEDIADAS POR INMUNIDAD. Se consideran secundarias. En este grupo los ANTÍGENOS son EXTERNOS. Los antígenos mas comunes son proteínas externas, como drogas( antibióticos), bacterias y virus, las cuales estimulan la reacción inmunológica, con el consecuente daño.
NOTA
: Las lesiones clínicas y histopatológicas son similares en ambos grupos.
Incidencia:
En perros y gatos, las dermatitis o dermatosis mediadas por inmunidad, están bastantes descritas en la literatura. En trabajos intra hospitalarios universitarios publicados, comparando su incidencia con otras patologías dérmicas, las estimaciones andan cerca de 1.4% en perros y 1.3 % en gatos.
Algunos datos generales:
El primer caso de pénfigos en caninos se publico en 1977. Para muchos autores, dentro del grupo de la dermatitis autoinmunes el PÉNFIGOS es el mas común. Otros autores, por el contrario, consideran a LUPUS ERITEMATOSO DISCOIDE, como el mas común, por esta razón el lupus es el principal diagnostico diferencial. En relación al sexo, únicamente en un estudio de la Universidad de Pensilvania, reporta una mayor incidencia en MACHOS.
El pénfigos foliáceos esta considerado como una enfermedad de perros de edad media o adulta, sin embargo, se puede presentar a cualquier edad. En relación a la RAZA, se reporta una mayor incidencia en Akitas y Chow-chows.
Signos clínicos:
Pénfigos foliáceos es una enfermedad PUSTULAR. Sin embargo, la lesión puede empezar como una pápula, para luego de forma rápida convertirse en pústula. Posteriormente provoca erosiones y costras. Por esto, la principal muestra diagnóstica especialmente para histopatología, en una pústula intacta. Tengan en consideración que este paciente ingreso por una lesión costrosa en el plano nasal, es decir la fase clínica pustular ya había pasado, sin embargo fue posible verla histológicamente.
Los signos clínicos se pueden presentar de forma rápida( entre una a dos semanas), pero también puede tener una presentación mas prolongada de uno o mas meses. Algunos autores reportan prurito. Además, en casos de presentación aguda y severa, los pacientes pueden padecer de depresión, anorexia, cuadros febriles y linfoadenopatía.
Principales sedes anatómicas:
Cerca de un 80% de casos se reportan en la cabeza/cara y las orejas. Con mucha frecuencia las lesiones son bilaterales. También pueden afectar a las almohadillas plantares, incluso hay casos, que solo afecta esta sede. Las lesiones de mucosas o uniones mucocutaneas, son muy infrecuentes.
Patogénesis (breve)
Los desmosomas son estructuras complejas que participan en mantener las uniones intercelulares de las células epiteliales y del musculo cardiaco. En la epidermis, los desmosomas(proteínas) no solo mantienen unidos a los queratocitos, sino que además, sirve como conexión con el citoesqueleto a través del los filamentos intermedios, dándole una mayor flexibilidad a los queratocitos. Ver el siguiente esquema tomado de internet.

Cuando sucede un impedimento en la adhesión o unión de los queratocitos, esto provoca la separación de las células, causando un fenómeno conocido como ACANTOLISIS.
En general en el caso de pénfigos foliáceos, los auto anticuerpos actúan contra los antígenos presentes en la desmogleina-1 y otras moléculas de adhesión celular.
NOTA: La acantolisis no es exclusiva de las patologías autoinmunes.
Las principales herramientas diagnósticas:
- A. Tener claro los principales signos clínicos. Recordar lo principal, es una patología pustular con formación de costras. Además, tener siempre en mente los posibles diagnósticos diferenciales( ver mas abajo).
- B. La citología. Se usa ya sea por impresión o mejor aspirando una pústula( aguja hipodérmica), para intentar ver queratocitos libres y polimorfonucleares.
- C. Biopsia( Histopatología). De estar presentes, es muy importante remitir las pústulas intactas.
- D. Inmunopatología, con dos técnicas: La inmunoflorescencia directa y la indirecta.
- E. La inmunohistoquímica.
- F. La serológica con la detección de anticuerpos( IgG).
Diagnóstico diferencial:
En caninos, en casos de dermatitis faciales simétricas, con formación de pústulas y costras, que involucren el plano nasal, el principal diagnostico diferencial son las patologías autoinmunes. Sin embargo, de acuerdo a mi experiencia en Costa Rica, los dos principales patologías de la región del plano nasal, son Lupus Eritematoso Discoide(Fig.7) y las dermatosis asociadas a la exposición solar (Fig.8).

Fig.7. Un caso de Lupus Eritematoso Discoide. Observa la formación de costras.
Fig. 8. Un Weimaraner, con una lesión alopécica, debido a la sobre exposición solarOtro grupo de los diagnósticos diferenciales, son las infecciosas tipo piodermias por el Staphylococcus pseudointermedius, demodicosis y dermatofitos.
Tratamiento:
No esta en el objetivo de este reporte, solo se indicara lo siguiente( para mas información ver la literatura pertinente).
- Los glucocorticoides( Prednisona o Prednisolona), son la droga mas utilizada.
- La azatioprina. Generalmente, la usan en conjunto con los glucocorticoides.
- La ciclosporina, también ha sido utilizada.
Lectura recomendada:
- Olivry, T. et al. Prolonged remission after immunosuppressive therapy in six dogs with pemphigus foliaceus. Veterinary Dermatology. Vol. 15, Number 4, August 2004, 245-252.
- Olivry,T. A review of autoimmune skin diseases in domestic animals: I-Superficial pemphigus. Veterinary Dermatology. Vol.17, Number 5, October 2006,291-305.
- Olivry,T and Linder,K.E. Dermatoses affecting desmosomes in animals: a mechanistic review of acantholytic blistering skin diseases. Veterinary Dermatology. Vol.20, Number 5-6, Oct-December, 2009, 313-326.

