Autor:
Berrocal, A.
Historia clínica:
Hace dos meses, le empezaron a observar un crecimiento subcutáneo (nódulo), en el costado derecho. A la palpación es suave e indoloro. Se remueve totalmente de forma quirúrgica.
Hallazgos microscópicos:
Se recibe una masa de 8.0 x 5.50x 2.0cms de diámetro. Al seccionarla longitudinalmente, se observa un tejido blanco rodeado por otro tejido semejante a adiposo.
La masa estaba debajo de la dermis. Fig.1.

Fig.1. La flecha superior indica el borde inferior de la dermis. La otra flecha muestra la masa inmersa en el tejido adiposo. Mas profundamente se ve el tejido adiposo.
Diagnostico hitopatológico final: Se trata de un tumor clasificado como MASTOCITOMA DE GRADO I, DEL TIPO SUBCUTÁNEO.
Concepto:En caninos, la mayoría de mastocitomas se origina de los mastocitos que se localizan en los diferentes estratos de la dermis(piel), expandiéndose posteriormente hacia el subcutis. Sin embargo, existen un grupo, el cual se origina mas profundamente,( tejido adiposo/ subcutis). De ahí el concepto deMASTOCITOMA SUBCUTÁNEO. Ver Fig. 2 A-B

Fig.2-A. La flecha superior indica la dermis profunda. La otra muestra tejido adiposo. Luego la masa(mastocitoma).

Caso contrario ocurre en la siguiente figura 3, en donde mastocitoma esta creciendo en la dermis, abarcándola de forma total.

Durante muchos años, una gran cantidad de trabajos (literatura en ingles), se han realizado y publicado, con la intención o objetivo de establecer el mejor esquema de pronóstico para un tumor tan frecuente como es el MASTOCITOMA.
De forma breve algunos datos. La frecuencia, en relación con el resto de tumores cutáneos son variables, oscilan entre 11% a 27%. En estudio retrospectivo de cinco años, realizado como tesis de graduación, en Costa Rica por Paola Núñez, encontró un 13% de mastocitomas comparado con el resto de todos los tumores de piel o dérmicos. Ver cita bibliográfica.
Desafortunadamente, las variables de pronostico no son uniformes. Incluso el concepto histopatológico( no por citología), de clasificación por grados,(grado I, grado II y grado III), tampoco es uniforme, ya que dependerá de la experiencia y el conocimiento, del patólogo, o persona que hace patología( no patólogo colegiado).
Desafortunadamente, las variables de pronostico no son uniformes. Incluso el concepto histopatológico (no por citología), de clasificación por grados, (grado I, grado II y grado III), tampoco es uniforme, ya que dependerá de la experiencia y el conocimiento, del patólogo, o persona que hace patología (no patólogo colegiado).
Las variables más conocidas que ayudan al pronóstico son:
- A. La localización anatómica: Para algunos autores, los mastocitomas localizados en la región inguinal tienen mayor potencial de malignidad, independiente de su grado. Ver siguiente foto.
Fig.4. Un mastocitoma, múltiple, localizado en la región inguinal.
- B. Los márgenes de resección quirúrgica. Es el concepto de los márgenes o bordes ampliamente libres o por el contrario no libres.
- C. La Actividad mitótica, morfometría nuclear, y densidad vascular intratumoral(son conceptos histopatológicos).
- D. Además del uso de los marcadores moleculares como el Ki-67, PCNA, y el AgNOR.
Nota I :
El Ki-67 y el PCNA. En términos muy generales, ambos marcadores indican la proporción (porcentaje), de la proliferación o del ciclo de las células en un tumor, el cual generalmente se correlaciona con el índice de mitosis.
Como es de suponer, en general, los tumores malignos tienen mayor proliferación celular.
El AgNOR, determina el porcentaje de la proliferación celular. Ver Fig.5.

Fig.5. Tinción de AgNOR. El núcleo es café. Los puntitos negros son nucléolos.E– Finalmente, el concepto de SUBCUTÁNEO. El objetivo de este nuevo factor de pronostico, aparece en un extenso trabajo interdisciplinario publicado por Thompson, J.J. Et.al, en Enero del 2011( ver cita bibliográfica).
En este trabajo, revisaron 550 mastocitomas subcutáneos de 354 diferentes clínicas. Concluyendo que los tumores agrupados en este concepto, mostraron un mejor pronostico, que los de piel( dérmicos).
Nota II:
Como información general. En los Estados Unidos, en estos momentos por ejemplo para una mejor precisión del pronostico, especialmente para pacientes que van a ser tratados con drogas inhibidoras de la quinasa tirosina, están ofreciendo un nuevo panel de inmunohistoquímica en parafina (Michigan Diagnostic Center), incluyendo el EXON 8 y 11 (ácido núcleico, componente del ARN mensajero). El precio de todo el panel es de 210 dólares americanos.
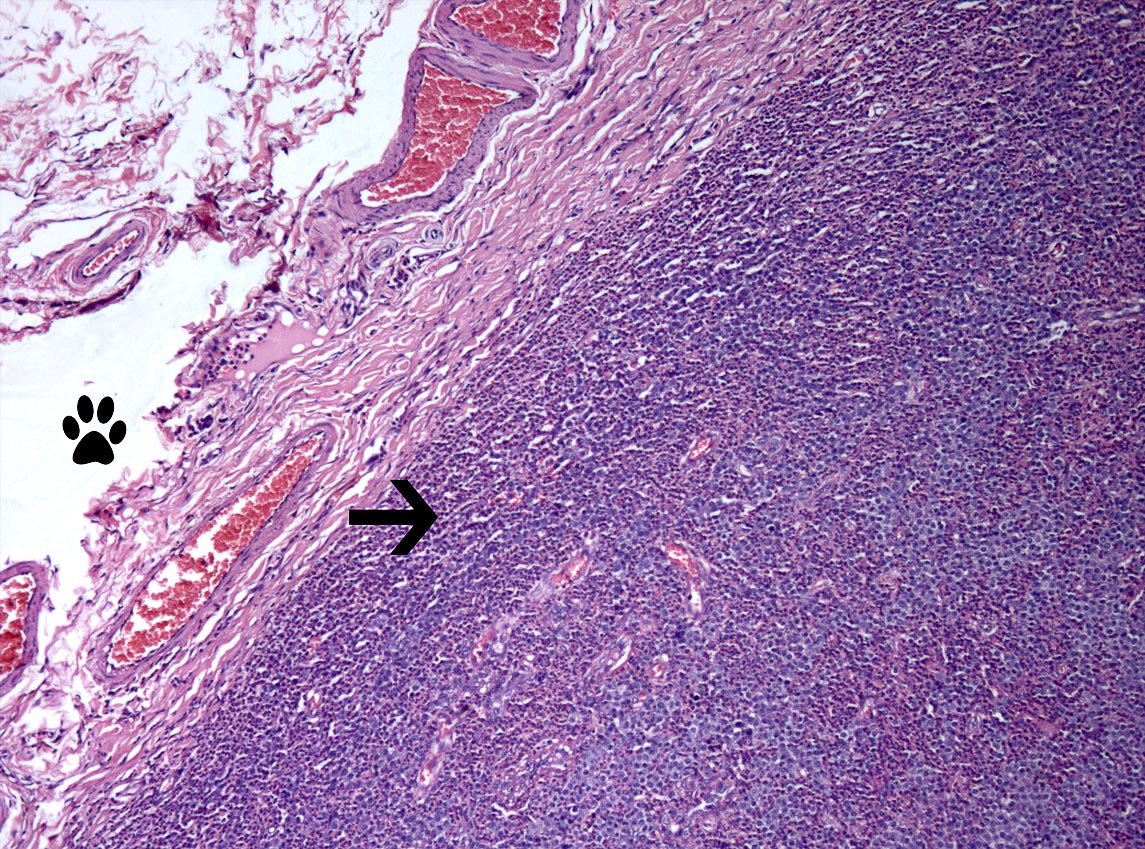
Finalmente. En las dos siguientes figuras(6-A,6-B), se aprecia de forma clara el concepto histopatológico de mastocitoma subcutáneo.

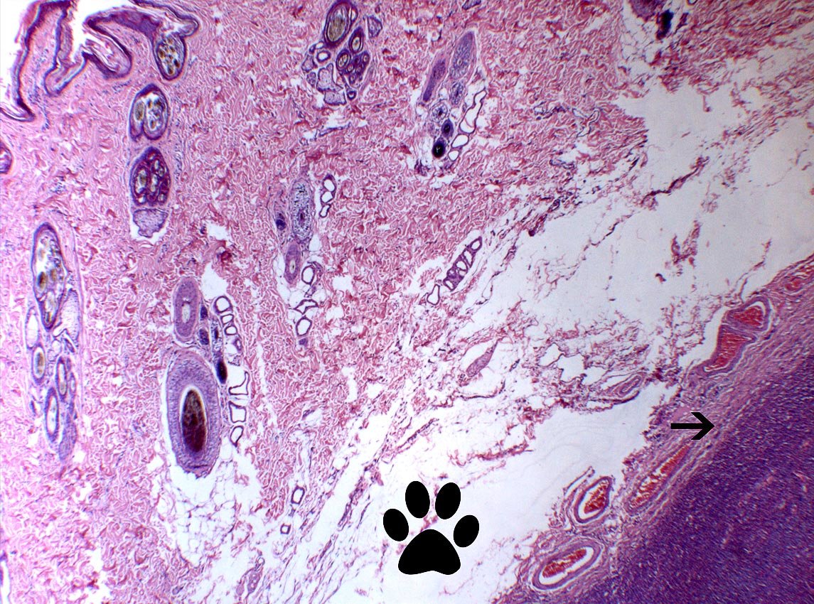
Fig.6-A. Todo lo rosado es dermis( folículos pilosos, etc.). La patita, es el tejido adiposo, la flecha, indica la capsula del tumor.
Fig.6-B. Un mayor acercamiento de la fig.6-A. La flecha indica el crecimiento tumoral.
Nota: No es el objetivo de esta presentación el desarrollar o ampliar, el concepto de que dentro de los mastocitoma subcutáneos, hay tres subtipos histopatológicos, ellos son el circunscripto, el combinado e el infiltrativo.
Conclusión final:
El principal objetivo del desarrollo de concepto de Mastocitoma Subcutaneo, es que cuando en algún informe generado en HISTOPATOVET, reportemos este tipo de tumor, ustedes como usuarios(as), sepan exactamente de que se trata.
Algunas referencias:
- Núñez,P. Estudio retrospectivo de neoplasias dérmicas, con énfasis en el mastocitoma canino en Costa Rica. Escuela de Medicina Veterinaria. UNA, 2007.
- Monteiro,B. Boston,S. and Monteith,G. Factors influencing complete tumor excision of mast cell tumors and soft tissue sarcomas: A retrospective study in 100 dogs. Can. Vet. J. 2011; 52:1209-1214.
- Thompson,J.J. Pearl,D.L, Yager,J.A. Et al. Canine Subcutaneous Mast Cell Tumor: Characterization and Prognostic Indices. Veterinary Pathology. January 2011,Vol 48,No1. Pag. 156-168.


Fig.4. Un mastocitoma, múltiple, localizado en la región inguinal.