Autor:
Berrocal, A.
Historia Clínica:
Ingresa a consulta por una lesión única cutánea(piel), de aproximadamente 0.50 cms de diámetro, localizada a nivel costal. Evolución: los dueños no pudieron precisar el tiempo de evolución. Estudio Patológico: Se recibe una biopsia quirúrgica(helicoidal) de cerca de 1.0 cm de diámetro, con un nodulito oscuro en el centro de unos 0.30 cms. Diagnóstico Histopatológico: Se trata de una dermatopatología conocida como PLACA DÉRMICA PIGMENTADA, la cual muy probablemente sea causada por un papilomavirus. Ver Fig. 1. Y Fig.2.

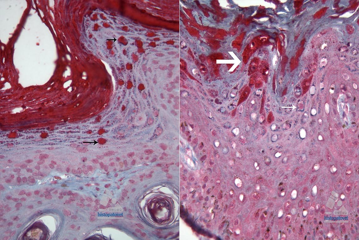
Fig.2. Acercamiento del estrato espinoso. La flecha señala una posible inclusión viral.Comentario: Para poder establecer su etiología es necesario realizar una prueba de inmunohistoquímica en parafina, técnica no disponible en Costa Rica. NOTA: Unos meses después, la prueba se realizó en el Diagnostic Center for Population & Animal Health Michigan State University, dando positiva. Ver Fig. 3-A-B.

Fig.3-A-B. Las flechas indican varias células (núcleos positivos).Definición de Placa: Es una lesión firme, sobre elevada, con una superficie lisa, provocada por un engrosamiento de la epidermis( estrato corneo y espinoso). Su diámetro es generalmente mayor a un centímetro. Las placas, forman parte del grupo de las lesiones primarias dérmicas. Ver siguiente ilustración.

Fig.4. Ilustración. Vea la flecha indicando el engrosamiento de la epidermis.Como ya se explicó , microscópicamente hay un engrosamiento de ambos estratos de la epidermis( corneo y espinoso). Ver Fig. 5.

Algunas generalidades sobre los papilomas cutáneos: El virus del papiloma, está asociado a varias patologías cutáneas neoplásicas. Son muy resistentes, en su medio ambiente. Su modo de transmisión es por traumas cutáneos(piel) o en las mucosas. Es un virus con mucho tropismo a los epitelios, con sedes anatómicas muy específicas. También es bastante especie/específica. En humanos, hay descritos cerca de 100 tipos, tanto del grupo alfa como del beta, afectando especialmente a pacientes inmunosupresos. En medicina veterinaria, están descritos especialmente en caninos, felinos, equinos, cebras, tapires( sarcoide). Siendo mayormente descritos en caninos con al menos nueve diferentes tipos. En perros y gatos, hay varios trabajos publicados , demostrando que estas placas, pueden progresar( transformación) a carcinoma in situ y a carcinoma de células escamosas. De forma breve, únicamente discutiremos esta patología en caninos. El papilomavirus cutáneo, tiene seis diferentes presentaciones bien reconocidas. La forma mas común, es la formación de un crecimiento papiliformes(papiloma viral), tanto en la piel como a la mucosa oral, a veces esofágica y ocular. Afecta a caninos jóvenes y puede curar de forma espontánea. Ver las siguientes dos figuras.

Fig. 6.Barbilla. Papilomavirus clásico. Esta presentación es poco frecuente.
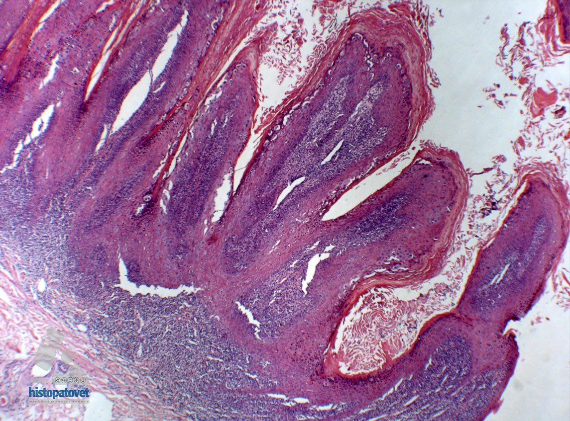
Fig.7. Aspecto microscópico. Observa el crecimiento como “dedos de las manos), con un gran de estrato corneo.Las otras presentaciones clínicas patológicas son:
- El cutáneo cutáneo exofítico (verruga en inglés “Wart”).
- El papiloma cutáneo endofítico o papiloma invertido.
- El carcinoma de células escamosas in situ.
- Algunos( no la mayoría) de los carcinomas invasivos cutáneos y orales.
- La otra forma son las placas pigmentadas, las cuales como ya se mencionó , en algunos pocos casos se puede transformar a una neoplasia, ya sea en un carcinoma in situ o un carcinoma de células escamosas. La etiología de estas placas fue reconocida recientemente(1995).
Anteriormente, por su pigmentación se describió como lesiones lentiginosas, posteriormente también debido a su pigmentación se clasificaron como nevus epidérmico pigmentado. Aspectos clínicos: en la literatura, están consideradas como de presentación infrecuente, sin embargo, su incidencia podría ser mayor ya que probablemente muchos casos no son analizados histopatológicamente. Generalmente son múltiples, aunque pueden ser solitarias. Miden de un milímetro a un centímetro, aunque pueden llegar a medir hasta 8.0 o más centímetros. Son oscuras(pigmentadas), ovoides-circulares, sobre-elevadas. Localizándose sobre todo en la región ventral del abdomen y tórax. Además, los miembros, zona medial-proximal (tanto uni como bilateral). Afecta generalmente a perros jóvenes-adultos. Se ha reportado una mayor incidencia en Pugs y Schnauzers miniaturas. También, en Boston terriers y French bulldogs. Generalmente, la formación de estas placas está asociada a estados de inmunosupresión, de ahí que actualmente con el uso de la ciclosporina, hay casos reportados en asociación al uso de esta droga. Ver fig. 8.

Fig. 8.Lesiones tipo placas pigmentadas en la región abdominal/ inguinal.
En equinos, existe una presentación conocida como Placa Aural (Acantosis de la Pina), en donde como su nombre lo indica, generalmente afecta la cara interna de la oreja, aunque también los miembros posteriores. Se presenta generalmente en equinos mayores de 2 años. Su etiología, ha sido casi siempre asociada a un virus del papiloma, diferente del papilomavirus clásico. Como información general, el concepto de placa no es exclusivo de la papilomatosis, ya que existen otras enfermedades dérmicas oncológicas (linfoma cutáneo epiteliotrópico histiocitosis cutánea, etc.) y no oncológicas( placa eosinofílica, calcinosis cutis, etc. ) en donde su presentación clínica es la formación de placas (concepto de lesión dérmica primaria). Ver los siguientes dos ejemplos de placa eosinofílica y calcinosis cutis.

Fig. 8. Placa Eosinofílica del gato. Foto cortesía Dra. Laura Flores.
Fig. 9. Vista ventral. Múltiples placas. Calcinosis cutis en un canino.
Bibliografía recomedada:
-Munday, J. S. et al. Development of multiple pigmented viral plaques and squamous cell carcinomas in a dog infected by a novel papilomavirus. Veterinary Dermatology. Vol 22 No 1-Feb.2011)(104-109). -Munday,J.S. and Kiupel,M. Papillomavirus –Associated cutaneous Neoplasia in Mammals. Veterinary Pathology. March,2010, Vol47, No 2(255-264). -Sykes Jane E. Canine and Feline Infectious Diseases. Saunders.2014. Chapter 26. Viral Papillomatosis. -Thelma, L. G., Ihrke,P.J. et al. Skin Diseases of the Dog and Cat. Clinical and Histopathologic Diagnosis. Second Edition. 2005. Blackwell.


