Autor:
Berrocal, A.
Paciente:
Cocker spaniel, hembra estéril de 10 años de edad.
Historia clínica:
Ingresa a consulta por la presencia de una masa en la zona perianal del lado derecho. La cual a la palpación es irregular y está aumentada de consistencia.
Además, tiene otra masa intra-abdominal a nivel de la ámpula rectal. Ver fig. 1.

Fig. 1. A y B. Observe la masa localizada en posición ventro-lateral. Secundariamente hay ulceración. Fotos cortesía del Dr. Giancarlo Riggioni.
El plan diagnóstico se tomaron cuatro citologías por aspiración de la masa abdominal/inguinal y una biopsia de la masa perianal. También se realizó una química sanguínea para la funcionalidad renal y niveles de calcio.
Resultados:
–Química sanguínea: La creatinina y nitrógeno ureico, se reportó como “alteradas”. El calcio sin alteraciones (valores normales).
–Citología: Se reciben cuatro aspirados con aguja delgada o fina. De forma general, estos fueron los principales hallazgos. La población celular está formada por grupos de células con poco ha moderado a bastante citoplasma celeste pálido. Su núcleo es de forma redonda, ha ovalado, con varios tamaños y un nucléolo en general pequeño. Ver fig. 2.

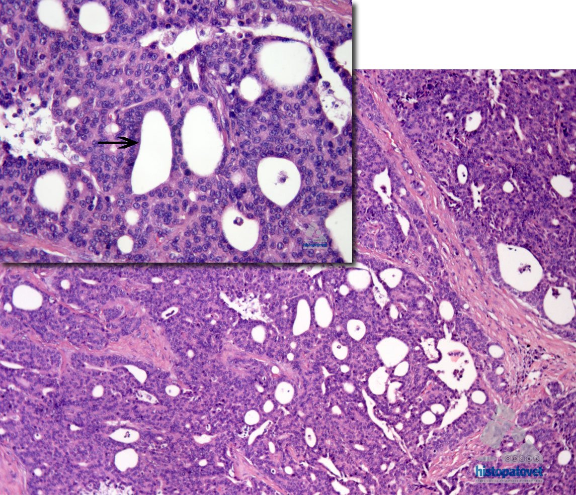
Histopatología: Se reciben dos masitas de 0.50 cms c/u.
Conclusión diagnóstica: Los hallazgos microscópicos tanto de la citología como de la histopatología son de un adenocarcinoma tubular, muy probablemente de los sacos anales. Ver siguiente figura 3.

Comentario: Estas neoplasias tienen mucha capacidad para invadir (metástasis), inicialmente a los linfonodos adyacentes (inguinales) y luego a órganos internos. Además, en algunos pacientes pueden provocar hipercalcemias (síndrome paraneoplásico).
Breve discusión:
Además, de la piel, la región perianal de los caninos está formada por las glándulas perianales o circumanales, localizadas alrededor del ano, aunque también se pueden encontrar en otras sedes como el prepucio, rabo o cola, miembros posteriores y el tronco. Estas glándulas son también conocidas como hepatoides, por su parecido a los hepatocitos. Son glándulas sebáceas no secretantes.
Luego están los SACOS ANALES. Son dos sacos a fondo ciego, localizados en la posición de las cuatro y ocho, según de las manecillas del reloj. Se encuentran en el tejido subcutáneo rodeado por glándulas sudoríparas apocrinas que secretan su contenido dentro del lumen de los sacos. Ver Fig. 4.

Estos adenocarcinomas de los sacos anales son menos frecuentes que los tumores originados de las glándulas perianales, con una estimación de un 17%. Hay trabajos que reportan una mayor incidencia en razas españolas, especialmente el Cocker español inglés. Hace tiempo atrás se habló que eran más frecuentes en hembras, sin embargo, trabajos más recientes no reportan ninguna preferencia de sexo. Están principalmente reportados entre los 9 a 11 años. Estos datos de raza, sexo y edad, coinciden bastante con los del paciente aquí presentado.
Los principales signos clínicos reportados son en algunos casos puede haber hipercalcemia y poliuria/polidipsia. Sin embargo, esta hipercalcemia solo está reportada entre un 25 a 50%. Esta baja incidencia sucedió en este caso en donde no hubo hipercalcemia. El otro hallazgo clínico es la presencia de una masa generalmente subcutánea. Aunque también masas en esta sede, puede tener otro origen, especialmente de las glándulas perianales o incluso de otros tumores que se originan inferior de la dermis, como mastocitomas, leiomiomas, melanomas, epiteliomas, etc. Ver un ejemplo en la siguiente fig.5.

Otro signo clínico posible es inflamación y sangrado de la masa, obstrucción del canal pélvico con tenesmo y constipación especialmente por aumento de los linfonodos regionales.
Tal como sucedió en este paciente, estas neoplasias generalmente son unilaterales, aunque pueden ocurrir bilateralmente.
El pronóstico: Son tumores invasivos localmente y con mucha capacidad para hacer metástasis inicialmente a los linfonodos regionales (pélvicos e inguinales).
Estas metástasis están reportadas de un 50 a 80% al momento de hacer el diagnóstico. Ver fig. 6

Por esta gran capacidad para hacer metástasis, de ser posible, los márgenes quirúrgicos deben ser los más amplios posibles.
Además de la cirugía, se ha usado como tratamiento ya sea solo o como coadyuvante, la radiación y la quimioterapia, la droga más usada es la actinomycin D.
Bibliografía recomendada.
– Berrocal, A. Vos JH, van den Ingh TS, et al. Canine Perianal Tumours. J. Vet. Med. Serie A. 36: 739-749, 1989.
-Laurel E. Williams. et al. Carcinoma of the apocrine glands of the anal sac in dogs: 113 cases( 1985-1995). J. Am. Vet. Med. Assoc. 2003,223: 825-831-
-Withrow & MacEwen´s. Small Animal Clinical Oncology. Fifth Edition, 2013. Section H, Pag. 423-431.

