Autor:
Berrocal, A.
Historia Clínica:
Ingresa a consulta por un decaimiento, perdida del apetito y dolor abdominal.
Se le realiza un ultrasonido observándose un engrosamiento del endometrio, con un poco de líquido.
Por la sospecha de una hiperplasia endometrial quística se le realizó la esterilización (ovariohisterectomía); encontrándose un útero con una pared engrosada y con la presencia de múltiples masas, de consistencia suave y de aspecto quísticas. Ver Figs.1,A y B.
Nota: la paciente siempre tuvo celos regulares. Sin embargo, desde hace dos años no ha vuelto a entrar en celo.
Tampoco la perra ha sido tratada con hormonas o otras drogas supresoras del celo.

Fig. 1-A. Aspecto durante la laparotomía. Fig. 1- B. Observe que los dos cuernos uterinos muestran la formación de formas nodulares de aspecto quísticos. Cortesía de Dra. Silvia Morales.
Estudio patológico:
A. Examen macroscópico: se recibe un solo trozo de útero de 3.50×2.0x0.90 cms. de diámetro, el cual al corte presenta de forma difusa varias cavidades quísticas. Ver Fig.2. En la figura 3, se muestra la formación de diferentes cavidades en general vacías.

Fig. 2. Corte transversal. La serosa es irregular.La mucosa con varias cavidades.
Fig.3. Foto tomada de la lamina ya procesa y teñida con H.E. Observa varias cavidades.
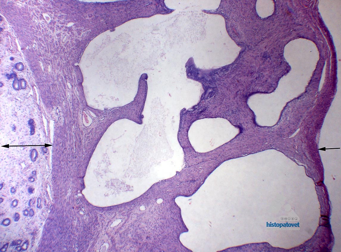
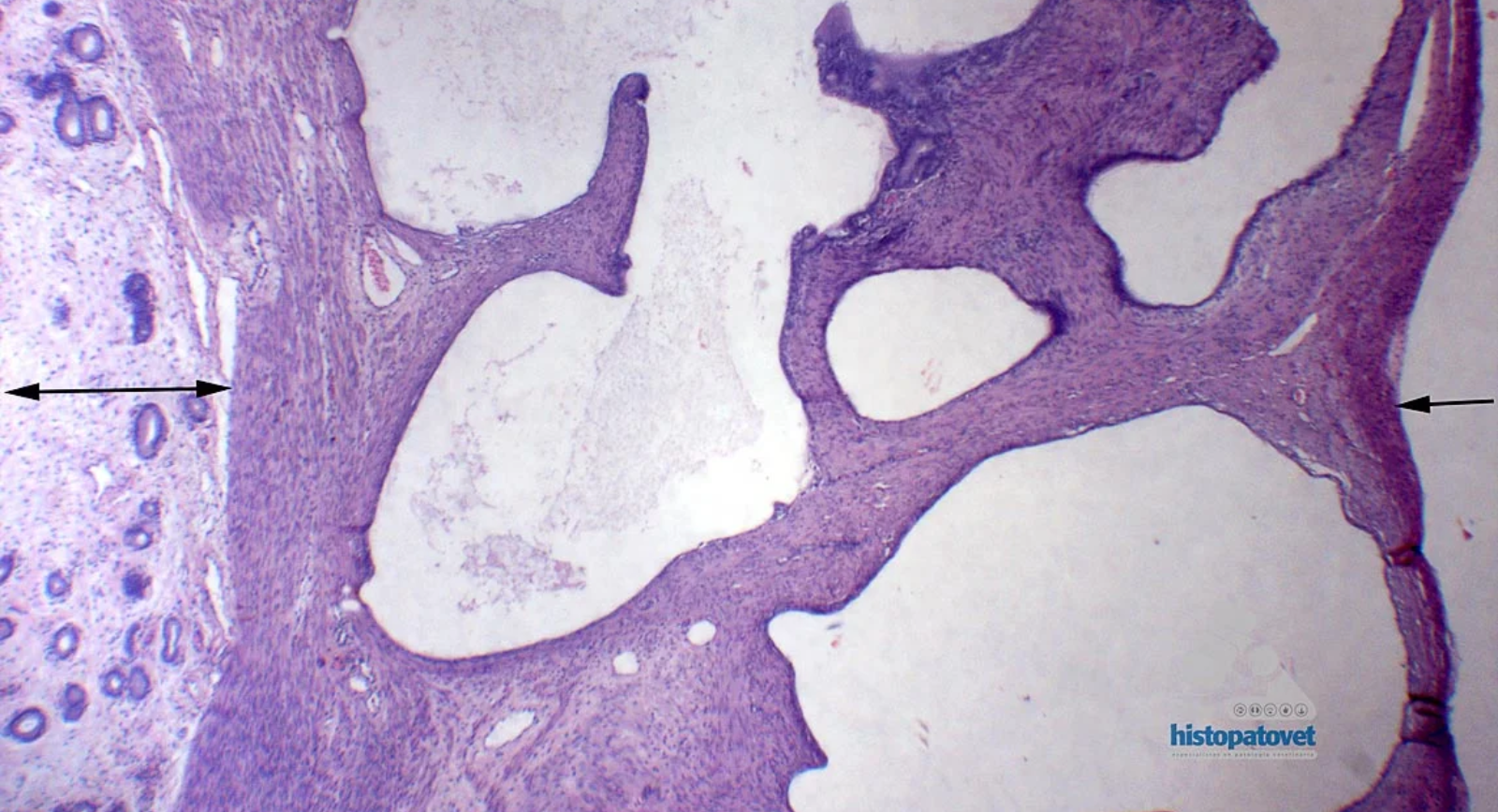
B. Examen microscópico: En la submucosa o miometrio se observa la formación de múltiples cavidades, algunas de ellas vacías, otras con un contenido levemente proteico. Las cavidades a su vez están revestidas por una monocapa de células cúbicas, algunas de ellas están atróficas. Fig.4.
Fig.4. La flecha con doble punta (izquierda), muestra una pequeña porción de la mucosa. La de la derecha, indica la serosa. En medio de ambas flechas esta el miometrio con varias cavidades vacías.
C. Conclusión Diagnóstica: los hallazgos microscópicos descritos son de una patología reproductiva poco frecuente clasificada como ADENOMIOSIS UTERINA.
Breve discusión:
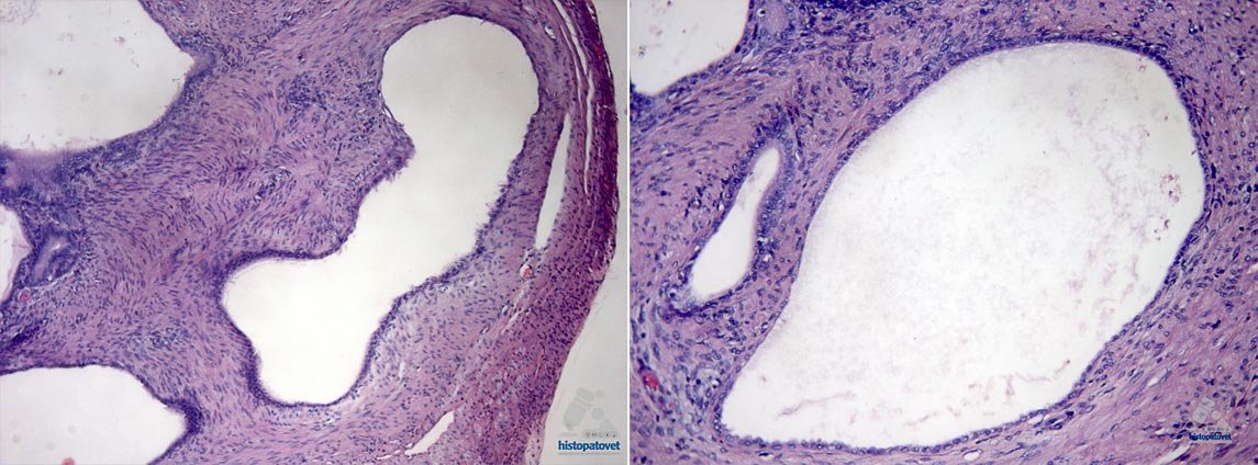
La adenomiosis es una patología uterina no neoplásica, de tipo hiperplásica caracterizada por una invaginación o penetración de las glándulas endometriales al miometrio o capa muscular (concepto de ectopia). Ver Fig.5 A y B.

Fig.5 A y B. Crecimiento glandular dentro del músculo (miometrio). Observe que las cavidades glandulares están revestidas por una monocapa de células a veces atróficas.Además de perras y gatas la adenomiosis, afecta a roedores, primates, y mujeres.
En perras esta reportada sobre todo en perras adultas, como sucedió en esta paciente.
Su incidencia es baja, siendo en la mayoría de casos un hallazgo accidental, durante la esterilización o incluso en necropsias, sin relación con la causa de muerte. En muchos pacientes se ha encontrado junto con la presencia de una piometra o una endometritis.
Clínicamente, hay pacientes que manifiestan una secreción mucosa vaginal. Además, presentar anorexia, depresión, incluso arqueo de la espalda producto del dolor. También un abdomen tenso y doloroso, algunos de estos signos clínicos fueron presentados por esta perra.
El principal diagnóstico diferencial clínico es la hiperplasia endometrial quística. También la hiperplasia endometrial por pseudo placentación o tumores benignos (leiomiomas y adenomas). A manera de ejemplo ver las dos siguientes fotos, de una hiperplasia quística endometrial con una piometra secundaria.
Fig. 6.A- Observe la forma nodular segmentada. La 6. B. Secciones transversales. El lumen muestra un contenido pastoso purulento.
Bibliografía recomendada.
-Barrier, B.F. Spontaneous adenomiosis in the chimpanzee (Pan troglodytes): First report and review of the primate literature. Case Report. Human reproduction Vol.22,No 6,2007,1714-1717.
-Kim,H.S. et al. Uterine Adenomyosis in Beagles dogs. Lab.. Anim. Res. 210:26(2).211-213.
-Tamada,H. et al. Adenomyosis with severe inflammation in the uterine cervix in a dog. Can. Vet. J. Vol. 46. April 2005,333-334.

