Autor:
Berrocal, A.
Paciente:
Una hembra fértil, Stanford americana de dos años y medio
Historia clínica:
Ingresa a consulta por su vacunación anual. Durante el examen físico de rutina se le palpa una gran masa en la cavidad abdominal. Se decide realizar un ultrasonido, observándose una masa que impedía visualizar los otros órganos abdominales. Se hace una laparotomía encontrándose una masa la cual estaba en donde debería estar el ovario derecho. La masa midió 27.0 cms de diámetro y pesaba 2.18 kg. Ver Fig. 1-2

Fig. 1-2. Aspecto durante la laparotomía. Fotos cortesía del Dr. Juan José SolísHALLAZGOS MACROSCÓPICOS: Se recibe una masa adherida al útero y unida a un ovario, el cual es de aspecto normal. La masa media 26.0×12.0x8.0 cms. Al corte toda la masa estaba compuesta por al menos tres diferentes tipos de tejidos. Uno era piel, con presencia de pelos ya desarrollados. El otro componete era un tejido de consistencia dura (hueso/cartílago) y otro un tejido blando como encefálico. Ver siguientes fotos.
Fig.3. Masa post cirugía. A la izquierda y abajo, la flecha negra señala el ovario normal. Fig4. A la derecha el aspecto luego de hacer una incisión longitudinal. La flecha señala tejido encefálico.
Fig. 5 Muestra un detalle de la figura anterior. Además del tejido nervioso, se aprecian pelos. La fig.6 es la misma masa luego de su fijación en formol.
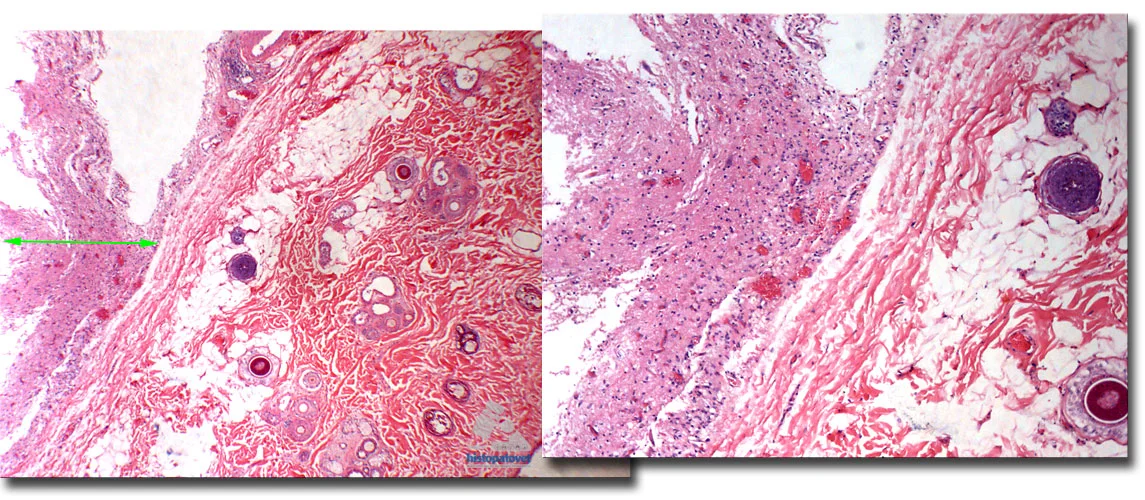
MICROSCÓPICAMENTE: Se logró determinar la presencia de piel con todas sus estructuras entre ellas folículos pilosos, sus dos glándulas anejas( sebáceas y sudoríparas y tejido conectivo). También se encontró tejido nervioso, con algunas neuronas, adiposo, conectivo y condroide. Ver siguientes fotos:}
Fig.7-A. A la derecha. Hay piel(dermis) con todos sus componentes. La flecha verde indica un tejido nervioso adherido a la dermis profunda. La 7-B es el detalle.

Fig.8-A- La flecha grande superior señala tejido condroide normal. El logo, abajo a la derecha esta colocado sobre tejido adiposo. La flecha larga indica toda una zona de tejido nervioso. La Fig.8-B es un detalleCONCLUSIÓN DIAGNOSTICA FINAL: Ovario Derecho. Se trata de un tumor de origen embrionario clasificado como TERATOMA.
Breve discusión:
Los teratomas de ovario son neoplasias poco reportadas en animales domésticos que se originan de las células embrionarias del ectodermo, mesodermo y endodermo, por esta razón tal y como se observa en este paciente encontramos, piel, hueso, cartílago, encéfalo, etc. Los teratomas pueden ocurrir en animales adultos, sin embargo la mayoría ocurre en jóvenes, con una gran incidencia en menores de seis años. El caso acá reportado tenía 2 años y medio.
La cirugía es el tratamiento de elección con un buen pronóstico, sin embargo hay reportes de metástasis a los linfonodos regionales, órganos abdominales y pulmón.
Algunas referencias:
Headley, S.A. et.al. Ovarian teratoma in a bitch. The Veterinary Record, April 22, 2006
Yamaguchi,Y et.al. Ovarian Teratoma with Formed Lens and Nonsuppurative Inflammation in an Old Dog. J. Vet. Med. Sci. 66(7):861-864,2004.

