Autor:
Berrocal, A.
Historia clínica:
Hace aproximadamente cuatro meses, presento problemas de piel( no se indica cuales), la trataron con amitrax y antibióticos( no se indican las dosificaciones); lográndose una completa recuperación. Ahora desde hace quince días, los dueños le empezaron a notar lesiones interdigitales en sus cuatro miembros (no presenta en otras sedes anatómicas). Debido a estas lesiones, la paciente manifiesta renuencia o dificultad para caminar. Además, hay una leve claudicación de su miembro anterior derecho.
Las principales lesiones podales, se caracterizan por formación de bullas, eritema y secreción sanguinolenta. Ver Fig.1

Conclusión diagnostica:
Tres biopsias pequeñitas tipo punch. Se trata de una DEMODICOSIS PODAL O PODODEMODICOSIS, CON UNA PIODERMIA CRÓNICA ACTIVA O PODODERMATITIS MIXTA SECUNDARIA.
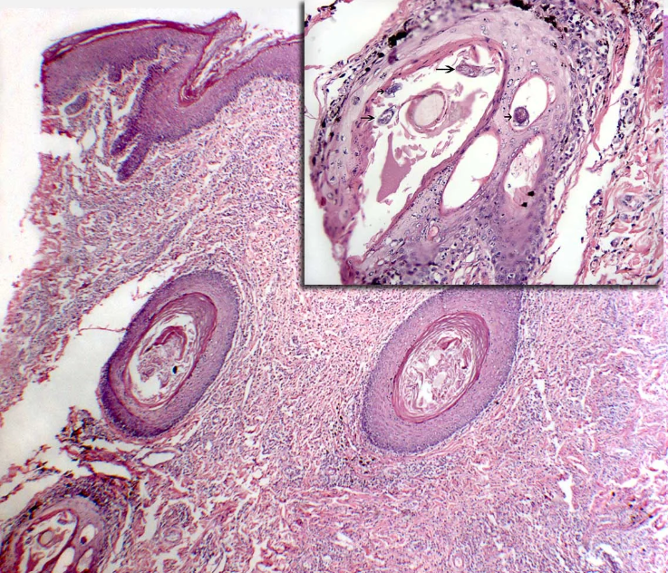
Ver las siguientes dos imágenes histopatológicas. Fig.2,A y B.

Fig. 2. Ay B. Dentro del folículo piloso, se observan varios cortes de Demodex sp.
Ver flechas.
Concepto de infecciones podales, en esta caso pododemodicosis.
Concepto PODAL. En humanos, se refiere a los pies. En medicina veterinaria, por la gran diversidad de especies, el termino es mas generalizado. Se emplea mas en pequeñas especies, refiriéndose a las manos y patas. Esta región podal, a su vez esta compuesta por diferentes componentes como son: la porción plantar o almohadilla, los dedos, los espacios interdigitales( componente dérmico), la unión uña -dermis, y la zona debajo de la uña( ungueal). Ver siguiente esquema (flechas), sobre el concepto podal.
Incluso la literatura no distingue cuando la infección o patología afecta la porción de piel superior o dorsal de la mano o pata. Fig.3.


También, de forma general se usa mucho el concepto de PODODERMATITIS. El cual solo significa una patología inflamatoria podal, de su componente dérmico. Lo ideal es que el diagnóstico final sea mas especifico indicándose si es bacteriana, micótica, parasitaria, neoplásica, etc.
También en muchos casos, la única porción afectada es la interdigital, pudiéndose utilizar el concepto de DERMATITIS INTERDIGITAL O UNA PODODERMATITIS INTERDIGITAL. Ver. Fig.4

Por esta razón es muy importante la descripción anatómica especifica que el dermatólogo(a) o el veterinario(a), debe indicar al momento de remitir la biopsia o la citología.
Clínicamente, las DEMODICOSIS PODALES O PODODEMODICOSIS, se pueden presentar, en tres diferentes escenarios. La primera como parte de una demodicosis generalizada, ya sea juvenil o adulta. La segunda como una séquela. Ocurre en pacientes que padecieron de una demodicosis en otras partes de cuerpo, la cual fue tratada con respuesta positiva, pero tiempo después, vuelve a aparecer, con una presentación podal, como única manifestación. La tercera es en pacientes cuya única presentación es podal. Esta tercera es la menos frecuente. En un reciente trabajo presentado por Florante, E, et al, (Vancouver,2012, World Dermatology Congress). De 95 casos de demodicosis canina, solo encontró tres clasificados como pododemodicosis( no se indica si fue la segunda o la tercera presentación). Nuestra experiencia en HISTOPATOVET, es que la tercera(única podal), es la mas infrecuente. Ver el siguiente caso.Fig.5.

Fig.5. Hiperemia. Múltiples erosiones y ulceras. Cortesía de Dra. Yessenia Alpízar.Por la historia clínica del caso aquí discutido, es muy probable que esta pododemodicosis, pertenezca al segundo grupo(séquela de una demodicosis previa).
Comentario final: a pesar de su infrecuencia, pero sobre todo por existir diferentes diagnósticos diferenciales, con aspectos macroscópicos muy parecidos, el abordaje clínico debe ser siempre detallado, razonado y integral.
A manera de ejemplo ver algunos diagnósticos diferenciales( Figs. 6,7,8,9,10).

Fig.6. Carcinoma de las glándulas ecrinas. Múltiples lesiones erosivas y ulcerativas.
Fig.7 Región plantar. Lesión ulcerada, por lamido. Cortesía de Dra. Karla Salazar.
Fig.8. Hiperemia. Indicios de lamido( pelo amarillento). Caso de Malassezia sp.
Fig.9. Eritema. Caso de Reacción de hipersensibilidad o alérgica.
Fig.10. Mastocitoma podal.
Literatura recomendada:
-Adri van den Broek and Christa Horvath-Ungerboeck. Pedal dermatitis in dogs and cats. Part 1. Companion Animal. Vol 16, Issue 1, pages 39-47, Jan/Feb. 2011.
-Gortel,K. Update on Canine Demodicosis. Vet. Clin. Small Anim. 36(2006),229-241.
-Muller,R.S. et.al Treatment of Demodicosis in dogs. 2011 Clinical Practice Guidelines. Veterinary Dermatology Vol.23.No2, April 2012

