Autor:
Berrocal, A.
Historia clínica:
Ingresó a consulta con un dolor abdominal, y abultamiento del abdomen. Se realiza un ultrasonido observándose un aumento de tamaño del bazo, con la formación de varias estructuras de aspecto nodular.
Se realiza la laparotomía exploratoria, encontrándose varios nódulos. Ver Fig.1
Nota: se remiten solo dos trozos

Descripción de los hallazgos patológicos: Se reciben dos trozos de bazo. El de mayor tamaño mide 6.0 cms de diámetro; con una coloración rojo-oscura.El otro trozo mide 4.0 cms, mostrando zonas blancas y oscuras. Ver Fig2-3.

Examen Microscópico:
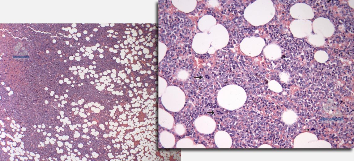
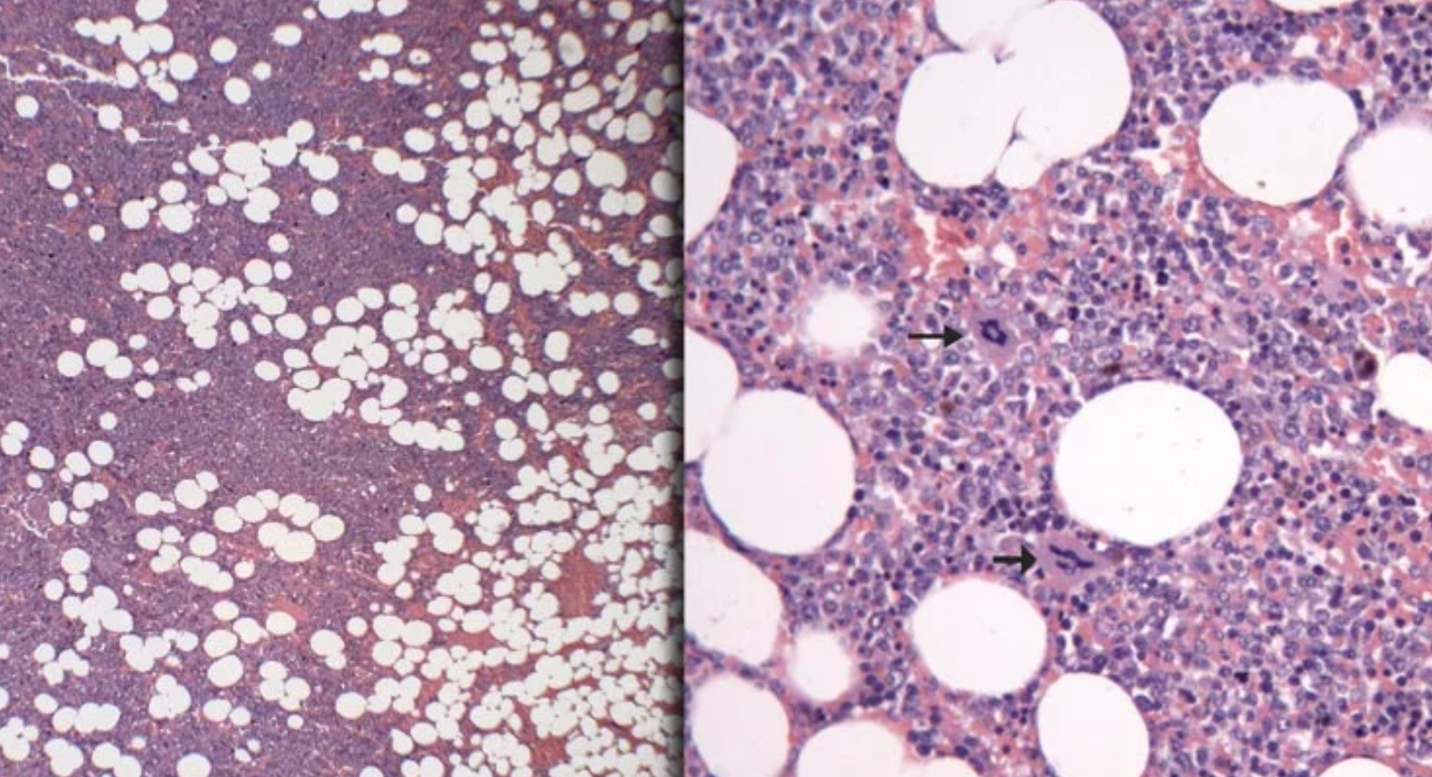
Las zonas blancas están compuestas por células con mucho citoplasma vacío y un núcleo pequeño. En medio de estas células hay eritrocitos, muchos megacariocitos mezclados con células hematopoyéticas inmaduras. Ver siguientes figuras.

Fig.4 A bajo aumento se aprecian las vacuolas vacías( adipocitos) y el componente mieloide. A la derecha, fig. 5, las flechas señalan varios megacariocitos.

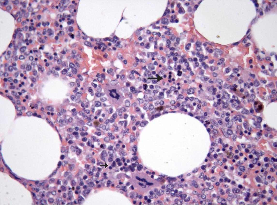
Fig. 6. Las flechas indican varios centros de hematopoyesis extra medular.
Conclusión diagnóstica:
- El trozo de bazo de coloración rojo-oscura: Es una hiperplasia nodular o nódulos hiperplásicos.
- El nódulo con zonas blancas: Se trata de un tumor benigno, clasificado como mielolipoma.
Breve reseña de los mielolipomas:
Son tumores poco frecuentes. Están compuestos por adipocitos maduros y células hematopoyéticas, especialmente megacariocitos, los cuales dan un aspecto de ser médula ósea, de ahí su nombre de MIELOLIPOMAS. En humanos están reportados principalmente en la glándula adrenal. También en el bazo e hígado. En medicina veterinaria, además de los caninos, están reportados en felinos, aves y algunas especies exóticas.
Finalmente, hay algunos autores que no consideran a los mielolipomas como verdadera neoplasia agrupándolas como metaplasias.
Desde la punta de vista morfológica (macroscópico) las patologías de bazo se pueden dividir en difusas o nodulares. En este caso, tanto por ultrasonido como macroscópicamente se evidenciaron múltiples crecimientos nodulares. De ahí que los principales diagnósticos diferenciales son hiperplasia nodulares, hematomas o neoplasias, siendo las dos más frecuentes un hemangioma o hemangiosarcoma y un linfoma maligno.
Resumen
La presencia de estas dos patologías en un mismo paciente son poco comunes. De estas dos, las hiperplasias nodulares son mucho más frecuentes. Como aspecto importante a resaltar es que en casos de esplenectomías, es muy importante el remitir todo el bazo y no un pequeño trozo tomado a criterio del veterinario(a), ya que esto podría provocar que en casos como este, el diagnóstico más importante sea diagnosticado.
Bibliografía recomendada.
- Raida K. Al-Rukibat, Zuhair A. Bani Ismail. Unusual presentation of splenic myelolipoma in a dog. Can Vet J 2006;47:1112–1114.
- Junichi KAMIIE, Keisuke FUEKI, Harumi AMAGAI, Youichiro ICHIKAWA and Kinji SHIROTA. Multicentric Myelolipoma in a Dog. J. Vet. Med. Sci. 71(3): 371–373, 2009.

