Autor:
Berrocal, A.
Historia clínica:
Ingresa a consulta por la presencia de una masa en la región de la glándula mamaria torácica, de un diámetro de 1.50×2.0x0.50 cms. Ver. Fig.1.

Fig. 1. Observe la masa, la cual esta a la par de un posible pezón( nódulo pequeño). Foto Cortesía Dr. Diego Vargas.
Hallazgos patológicos: Se recibe una biopsia una biopsia quirúrgica de 1.50X2.0X0.50 cms de diámetro. S u forma es semi-redonda con un nodulito en la periferia( posible pezón). Al seccionarla, se aprecia una masa blanca encapsulada.
Conclusión diagnóstica: Los hallazgos histopatológicos son de un QUISTE FOLICULAR, SUBTIPO INFUNDIBULAR, el cual se esta originando de la dermis y no de la glándula mamaria.
Ver las siguientes dos figuras( Fig.2 y 3).

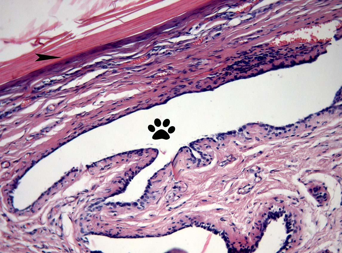
Fig.2. La flecha mas gruesa indica material queratínico; la mas pequeña señala la pared del quiste. La patita de gato, es el lumen de un ducto mamario, con una monocapa de células normales.
Fig. 3. Es un acercamiento de la fig.2. La flecha indica la pared epidermal del quiste. La patita del gato, el lumen de un ducto mamario, observe que su pared esta formada por una sola capa de células cubicas, un poco atróficas.Breve discusión: En el primer caso que presentamos en nuestra pagina web capitulo de Educación Continua, discutimos el concepto de Quistes Foliculares, y sus diferentes subtipos etc. (se recomienda su lectura como referencia del caso que discutiremos a continuación).
Ahí resaltamos que este tipo de quistes son bastantes frecuentes en perros y menos comunes en otras especies entre ellas los gatos.
La principal razón, para haber seleccionado este nuevo caso, fue el de reafirmar la relevancia del diagnostico histopatológico, el cual puede comprobar o descartar la sospecha clínica, en este caso de alguna neoplasia, que en algunas ocasiones, por su sede anatómica, como por ejemplo el área de la glándula mamaria, se podría pensar y asumir que es NEOPLÁSICA y que muy probablemente es maligna. Esto fue lo que sucedió con esta paciente. Lo cual desde el punto de vista clínico (de lo mas frecuente a lo infrecuente), fue una premisa correcta. Además con un buen pronostico reservado, asumiendo que podría ser una neoplasia maligna de la glándula mamaria.
Algunos datos epidemiológicos de neoplasias de la glándula mamaria:
En felinos, luego de las neoplasias de origen hematopoyético y de las de piel. Las originadas de la glándula mamaria, son el tercer grupo mas frecuente, estimándose entre 10.3% a 12.0% de todos los tumores en esta especie.
Como es de esperar, en relación a los machos, las hembras son mayormente afectadas. Independientemente de su condición sexual, afecta más a pacientes adultos (porcentaje de 10 a 12 años). Sin embargo, hay reportes en gatas de hasta 9 meses de edad. La paciente aquí presentada era joven (3 años), dato en contra de una posible neoplasia.
Finalmente, cerca de un 90% de las neoplasias de la glándula mamaria son malignas, con gran capacidad para hacer metástasis especialmente a pulmón.
Conclusión: Reafirmar, un viejo concepto diagnostico que dice “ que no todo nódulo, en esta caso cutáneo es neoplásico”.
Segundo, resaltar, que la glándula mamaria es un sistema glandular especializado, el cual esta ubicado en el subcutáneo, pero que en esa misma sede anatómica, podemos tener crecimientos de “aspecto” tumoral, los cuales se están originando de la piel y sus anejos o incluso del mismo tejido subcutáneo.
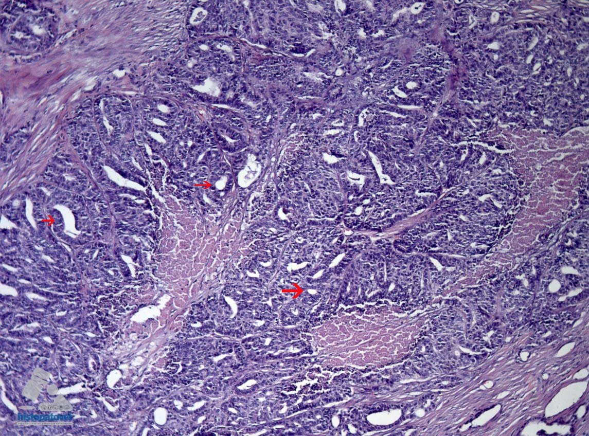
Diagnóstico diferencial: Naturalmente el principal es una neoplasia. Ver las siguientes cuatro figuras tres macroscópicas y una microscópica de una neoplasia maligna de la glándula mamaria

Fig.4. Esta es una pieza de patología quirúrgica, de una masa a nivel de la glándula mamaria.
El diagnostico final fue una ADENOCARCINOMA TUBULAR.
Fig.5. Este es otro CARCINOMA MAMARIO. Foto cortesía Dra. Laura Flores.

Fig. 6. Otro ejemplo de un Carcinoma mamario. Vea que su aspecto macroscópico es similar al caso aquí presentado. Foto Cortesía Dra. Paola Campos.

Fig. 7. Un ejemplo de la imagen histopatológica de una adenocarcinoma tubular. Vea las flechas rojas señalando las formas tubulares.
Bibliografía recomendada:
-Withrow & MacEwen´s. Small Animal Clinical Oncology. Fifth Edition(2013). Pag. 547-552.

