por Histopatovet | Ene 14, 2015 | Archivos de casos
Autor: Berrocal, A. Paciente: Beagle, macho fértil de 7 años de edad. Historia Clínica: El 22 de febrero del 2012 por medio de la prueba de SNAP shot se reportó una disminución de la T-4 total(< 0.50 μg/dl. Ref. 1.6-5.0). Posteriormente, 21 de mayo se midió la TT-4...
por Histopatovet | Ago 13, 2014 | Archivos de casos
Autor: Berrocal, A. Paciente: Gata estéril, sin raza definida, de 3 años de edad. Vivía en la casa con otros gatos y perros. La dueña no reporta haber observado ningún signo clínico previo a su muerte, indicando que murió de forma súbita en el transcurso de la...
por Histopatovet | May 29, 2014 | Archivos de casos
Autor: Berrocal, A. Paciente: Cocker spaniel, hembra estéril de 10 años de edad. Historia clínica: Ingresa a consulta por la presencia de una masa en la zona perianal del lado derecho. La cual a la palpación es irregular y está aumentada de consistencia. Además, tiene...
por Histopatovet | Mar 11, 2014 | Archivos de casos
Autor: Berrocal, A. Historia Clínica: Ingresa a consulta por un decaimiento, perdida del apetito y dolor abdominal. Se le realiza un ultrasonido observándose un engrosamiento del endometrio, con un poco de líquido. Por la sospecha de una hiperplasia endometrial...
por Histopatovet | Oct 15, 2013 | Archivos de casos
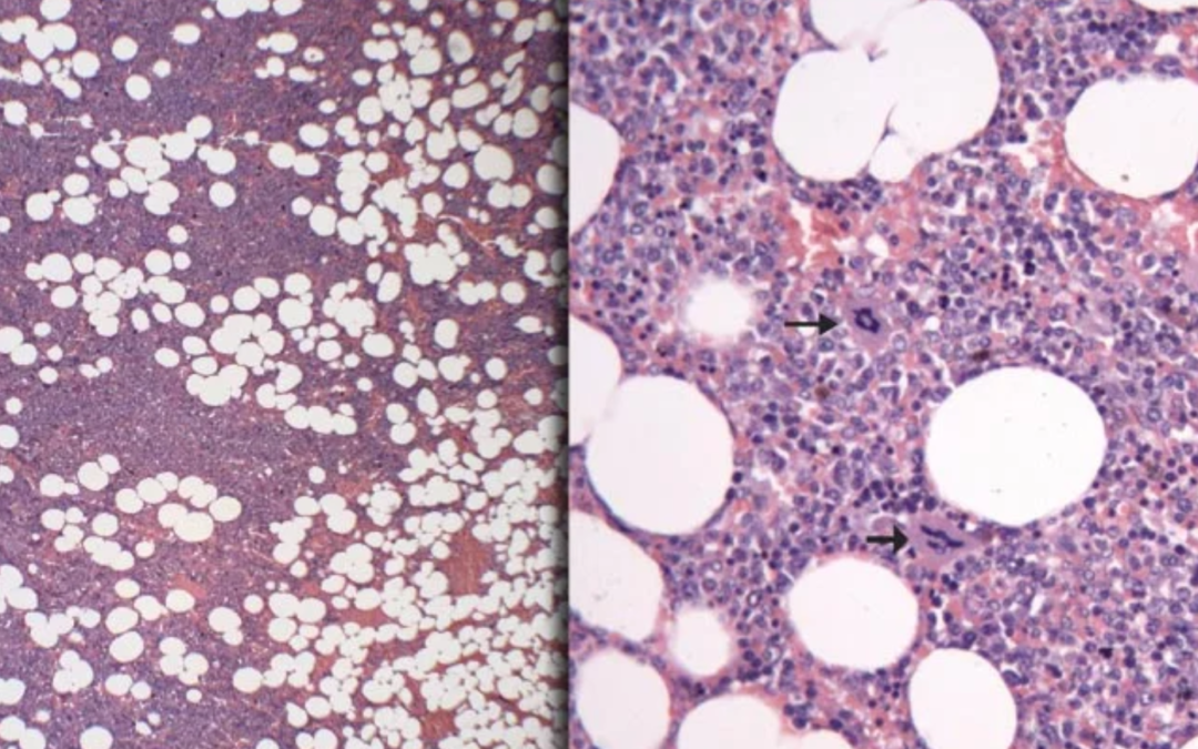
Autor: Berrocal, A. Historia clínica: Ingresó a consulta con un dolor abdominal, y abultamiento del abdomen. Se realiza un ultrasonido observándose un aumento de tamaño del bazo, con la formación de varias estructuras de aspecto nodular. Se realiza la laparotomía...
por Histopatovet | Oct 15, 2013 | Archivos de casos
Autor: Berrocal, A. Historia clínica: El 11 de marzo, ingresa por una segunda opinión, con una historia clínica de haber sido operada (esterilización), 15 días antes en otra clínica. La paciente fue tratada con Amoxicilina/Acido Clavulónico y Meloxican® oral por 8...